Antibody data
- Antibody Data
- Antigen structure
- References [0]
- Comments [0]
- Validations
- Immunocytochemistry [2]
- Immunohistochemistry [3]
Submit
Validation data
Reference
Comment
Report error
- Product number
- PA5-61287 - Provider product page

- Provider
- Invitrogen Antibodies
- Product name
- C6orf154 Polyclonal Antibody
- Antibody type
- Polyclonal
- Antigen
- Recombinant protein fragment
- Description
- Immunogen sequence: MLPSSIQISG EPLSGAEVRD ICRGLRDNAV RLLSLRGCRL CDRDFGRICR ALAGATSLAQ LNLNLGVVSS PSRIKQLAEA LRTNRSIQSL FLHGS Highest antigen sequence identity to the following orthologs: Mouse - 100%, Rat - 100%.
- Reactivity
- Human
- Host
- Rabbit
- Isotype
- IgG
- Vial size
- 100 μL
- Concentration
- 0.1 mg/mL
- Storage
- Store at 4°C short term. For long term storage, store at -20°C, avoiding freeze/thaw cycles.
No comments: Submit comment
Supportive validation
- Submitted by
- Invitrogen Antibodies (provider)
- Main image

- Experimental details
- Immunofluorescent staining of C6orf154 in human cell line U-251 MG shows positivity in cytoplasm. Samples were probed using a C6orf154 Polyclonal Antibody (Product # PA5-61287).
- Submitted by
- Invitrogen Antibodies (provider)
- Main image

- Experimental details
- Immunofluorecent analysis of C6orf154 in human cell line U-251 MG using C6orf154 Polyclonal Antibody (Product # PA5-61287). Staining shows localization to cytosol.
Supportive validation
- Submitted by
- Invitrogen Antibodies (provider)
- Main image

- Experimental details
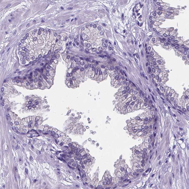
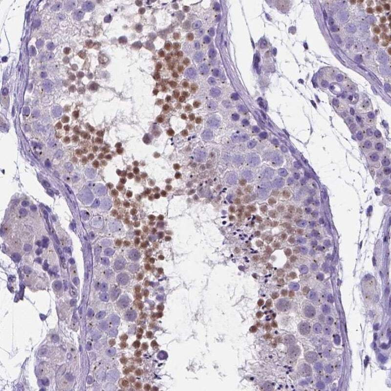
- Immunohistochemical staining of C6orf154 in human testis and prostate tissues using C6orf154 Polyclonal Antibody (Product # PA5-61287). Corresponding LRRC73 RNA-seq data are presented for the same tissues.
- Submitted by
- Invitrogen Antibodies (provider)
- Main image

- Experimental details
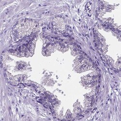
- Immunohistochemical staining of C6orf154 in human prostate using C6orf154 Polyclonal Antibody (Product # PA5-61287) shows low expression as expected.
- Submitted by
- Invitrogen Antibodies (provider)
- Main image

- Experimental details
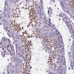
- Immunohistochemical staining of C6orf154 in human testis using C6orf154 Polyclonal Antibody (Product # PA5-61287) shows high expression.