PA5-62358
antibody from Invitrogen Antibodies
Targeting: SLC34A1
NAPI-3, NPT2, NPTIIa, SLC11, SLC17A2
Antibody data
- Antibody Data
- Antigen structure
- References [0]
- Comments [0]
- Validations
- Immunocytochemistry [2]
- Immunohistochemistry [4]
Submit
Validation data
Reference
Comment
Report error
- Product number
- PA5-62358 - Provider product page

- Provider
- Invitrogen Antibodies
- Product name
- SLC34A1 Polyclonal Antibody
- Antibody type
- Polyclonal
- Antigen
- Recombinant protein fragment
- Description
- Immunogen sequence: PLPVPGGHVM RGTAFAYVPS PQVLHRIPGT SAYAFPSLGP VALAEHTCPC GEVLERHEPL PAKLALEEEQ KPESRLVPKL RQA Highest antigen sequence identity to the following orthologs: Mouse - 72%, Rat - 73%.
- Reactivity
- Human
- Host
- Rabbit
- Isotype
- IgG
- Vial size
- 100 μL
- Concentration
- 0.1 mg/mL
- Storage
- Store at 4°C short term. For long term storage, store at -20°C, avoiding freeze/thaw cycles.
No comments: Submit comment
Supportive validation
- Submitted by
- Invitrogen Antibodies (provider)
- Main image

- Experimental details
- Immunofluorescent staining of SLC34A1 in human cell line HEL using SLC34A1 Polyclonal Antibody (Product # PA5-62358) shows localization to nuclear speckles, plasma membrane & mitotic spindle.
- Submitted by
- Invitrogen Antibodies (provider)
- Main image

- Experimental details
- Immunofluorescent staining of SLC34A1 in human cell line HEL using SLC34A1 Polyclonal Antibody (Product # PA5-62358) shows localization to nuclear speckles, plasma membrane & mitotic spindle.
Supportive validation
- Submitted by
- Invitrogen Antibodies (provider)
- Main image

- Experimental details
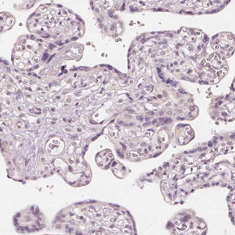
- Immunohistochemical analysis of SLC34A1 in human placenta using SLC34A1 Polyclonal Antibody (Product # PA5-62358) shows no positivity in trophoblastic cells as expected.
- Submitted by
- Invitrogen Antibodies (provider)
- Main image

- Experimental details
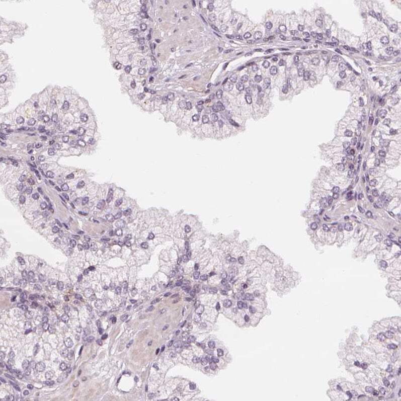
- Immunohistochemical analysis of SLC34A1 in human prostate using SLC34A1 Polyclonal Antibody (Product # PA5-62358) shows no positivity in glandular cells as expected.
- Submitted by
- Invitrogen Antibodies (provider)
- Main image

- Experimental details
- Immunohistochemical analysis of SLC34A1 in human stomach using SLC34A1 Polyclonal Antibody (Product # PA5-62358) shows no positivity in glandular cells as expected.
- Submitted by
- Invitrogen Antibodies (provider)
- Main image

- Experimental details
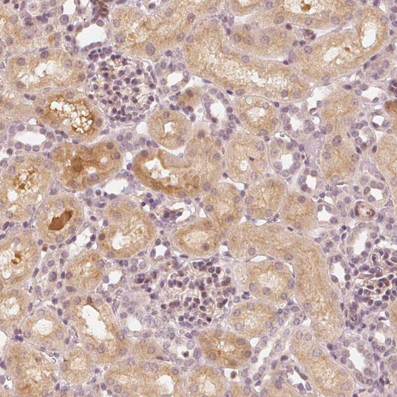
- Immunohistochemical analysis of SLC34A1 in human kidney using SLC34A1 Polyclonal Antibody (Product # PA5-62358) shows moderate cytoplasmic and luminal membranous positivity in cells in tubules.