PA5-113005
antibody from Invitrogen Antibodies
Targeting: SLC34A1
NAPI-3, NPT2, NPTIIa, SLC11, SLC17A2
Antibody data
- Antibody Data
- Antigen structure
- References [0]
- Comments [0]
- Validations
- Immunohistochemistry [2]
Submit
Validation data
Reference
Comment
Report error
- Product number
- PA5-113005 - Provider product page

- Provider
- Invitrogen Antibodies
- Product name
- SLC34A1 Polyclonal Antibody
- Antibody type
- Polyclonal
- Antigen
- Recombinant full-length protein
- Reactivity
- Human, Mouse
- Host
- Rabbit
- Isotype
- IgG
- Vial size
- 100 μL
- Concentration
- 1 mg/mL
- Storage
- -20°C or -80°C if preferred
No comments: Submit comment
Supportive validation
- Submitted by
- Invitrogen Antibodies (provider)
- Main image

- Experimental details
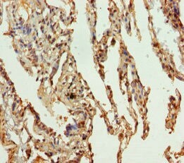
- Immunocytochemical analysis of paraffin-embeded SLC34A1 in human lung tissue using a SLC34A1 Polyclonal antibody (Product # PA5-113005) at a dilution of 1:100.
- Submitted by
- Invitrogen Antibodies (provider)
- Main image

- Experimental details
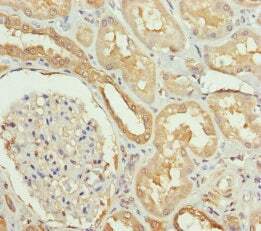
- Immunocytochemical analysis of paraffin-embeded SLC34A1 in human kidney tissue using a SLC34A1 Polyclonal antibody (Product # PA5-113005) at a dilution of 1:100.