Antibody data
- Antibody Data
- Antigen structure
- References [2]
- Comments [0]
- Validations
- Western blot [1]
- Immunohistochemistry [2]
Submit
Validation data
Reference
Comment
Report error
- Product number
- 17716-1-AP - Provider product page

- Provider
- Proteintech Group
- Proper citation
- Proteintech Cat#17716-1-AP, RRID:AB_2214288
- Product name
- USMG5 antibody
- Antibody type
- Polyclonal
- Description
- USMG5 antibody (Cat. #17716-1-AP) is a rabbit polyclonal antibody that shows reactivity with human, mouse, rat and has been validated for the following applications: IHC, WB,ELISA.
- Reactivity
- Human, Mouse, Rat
- Host
- Rabbit
- Conjugate
- Unconjugated
- Isotype
- IgG
- Vial size
- 20ul, 150ul
Submitted references miR-379 links glucocorticoid treatment with mitochondrial response in Duchenne muscular dystrophy.
Deficiency in Kelch protein Klhl31 causes congenital myopathy in mice.
Sanson M, Vu Hong A, Massourides E, Bourg N, Suel L, Amor F, Corre G, Bénit P, Barthélémy I, Blot S, Bigot A, Pinset C, Rustin P, Servais L, Voit T, Richard I, Israeli D
Scientific reports 2020 Jun 4;10(1):9139
Scientific reports 2020 Jun 4;10(1):9139
Deficiency in Kelch protein Klhl31 causes congenital myopathy in mice.
Papizan JB, Garry GA, Brezprozvannaya S, McAnally JR, Bassel-Duby R, Liu N, Olson EN
The Journal of clinical investigation 2017 Oct 2;127(10):3730-3740
The Journal of clinical investigation 2017 Oct 2;127(10):3730-3740
No comments: Submit comment
Supportive validation
- Submitted by
- Proteintech Group (provider)
- Main image

- Experimental details
- human liver tissue were subjected to SDS PAGE followed by western blot with 17716-1-AP(USMG5 antibody) at dilution of 1:400
- Sample type
- tissue
Supportive validation
- Submitted by
- Proteintech Group (provider)
- Main image

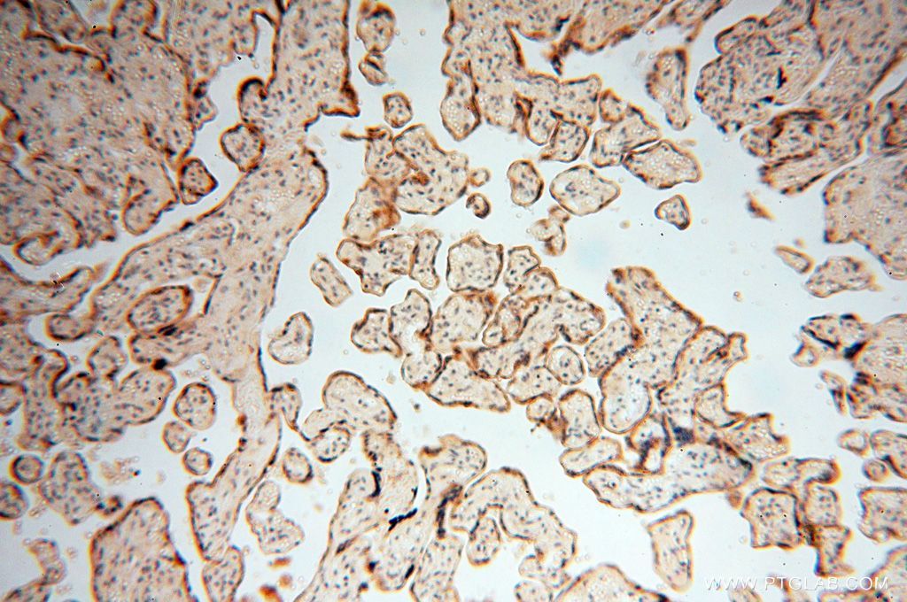
- Experimental details
- Immunohistochemical of paraffin-embedded human placenta using 17716-1-AP(USMG5 antibody) at dilution of 1:100 (under 10x lens)
- Sample type
- tissue
- Submitted by
- Proteintech Group (provider)
- Main image

- Experimental details
- The USMG5 antibody from Proteintech is a rabbit polyclonal antibody to a recombinant protein of human USMG5. This antibody recognizes human, mouse, rat antigen. The USMG5 antibody has been validated for the following applications: ELISA, WB, IHC analysis.