Antibody data
- Antibody Data
- Antigen structure
- References [0]
- Comments [0]
- Validations
- Western blot [2]
- Immunohistochemistry [2]
Submit
Validation data
Reference
Comment
Report error
- Product number
- TA302892 - Provider product page

- Provider
- OriGene
- Product name
- Goat Polyclonal Antibody against PTBP1
- Antibody type
- Polyclonal
- Description
- Goat Polyclonal Antibody against PTBP1
- Host
- Goat
- Conjugate
- Unconjugated
- Epitope
- PTBP1
- Isotype
- IgG
- Antibody clone number
- NULL
- Vial size
- 100 µg
- Concentration
- 0.5 mg/ml
No comments: Submit comment
Supportive validation
- Submitted by
- OriGene (provider)
- Main image

- Experimental details
- TA302892 (0.1 ug/ml) staining of Human Ovary lysate (35 ug protein in RIPA buffer). Primary incubation was 1 hour. Detected by chemiluminescence.
- Validation comment
- WB
- Submitted by
- OriGene (provider)
- Main image

- Experimental details
- TA302892 (0.01 ug/ml) staining of HeLa (A), HepG2 (B), Jurkat (C) and HEK293 (D) nuclear lysates (35 ug protein in RIPA buffer). Primary incubation was 1 hour. Detected by chemiluminescence.
- Validation comment
- WB
Supportive validation
- Submitted by
- OriGene (provider)
- Main image

- Experimental details
- TA302892 (5µg/ml) staining of paraffin embedded Human Skin. Steamed antigen retrieval with citrate buffer pH 6, AP-staining.
- Validation comment
- IHC
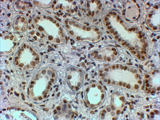
- Submitted by
- OriGene (provider)
- Main image

- Experimental details
- TA302892 (2 ug/ml) staining of paraffin embedded Human Kidney. Steamed antigen retrieval with Tris/EDTA buffer pH 9, HRP-staining.
- Validation comment
- IHC