Antibody data
- Antibody Data
- Antigen structure
- References [0]
- Comments [0]
- Validations
- Western blot [1]
- Immunohistochemistry [3]
Submit
Validation data
Reference
Comment
Report error
- Product number
- LS-C100287 - Provider product page

- Provider
- LSBio
- Proper citation
- LifeSpan Cat#LS-C100287, RRID:AB_2100124
- Product name
- EPHB4 / EPH Receptor B4 Antibody LS-C100287
- Antibody type
- Polyclonal
- Description
- Ammonium sulfate precipitation
- Reactivity
- Human
- Host
- Rabbit
- Storage
- Maintain refrigerated at 2°C to 8°C for up to 6 months. For long term storage store at -20°C.
No comments: Submit comment
Enhanced validation
- Submitted by
- LSBio (provider)
- Enhanced method
- Genetic validation
- Main image

- Experimental details
- Western blot of EphB4 (arrow) using rabbit polyclonal EphB4 Antibody. 293 cell lysates (2 ug/lane) either nontransfected (Lane 1) or transiently transfected with the EphB4 gene (Lane 2) (Origene Technologies).
Enhanced validation
- Submitted by
- LSBio (provider)
- Enhanced method
- Genetic validation
- Main image

- Experimental details
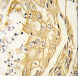
- Formalin-fixed and paraffin-embedded human lung carcinoma tissue reacted with the EphB4 antibody , which was peroxidase-conjugated to the secondary antibody, followed by DAB staining. This data demonstrates the use of this antibody for immunohistochemistry; clinical relevance has not been evaluated.
- Submitted by
- LSBio (provider)
- Enhanced method
- Genetic validation
- Main image

- Experimental details
- Formalin-fixed and paraffin-embedded human lung carcinoma tissue reacted with the EphB4 antibody , which was peroxidase-conjugated to the secondary antibody, followed by DAB staining. This data demonstrates the use of this antibody for immunohistochemistry; clinical relevance has not been evaluated.
- Submitted by
- LSBio (provider)
- Main image

- Experimental details
- Formalin-fixed and paraffin-embedded human lung carcinoma tissue reacted with the EphB4 antibody , which was peroxidase-conjugated to the secondary antibody, followed by DAB staining. This data demonstrates the use of this antibody for immunohistochemistry; clinical relevance has not been evaluated.