Antibody data
- Antibody Data
- Antigen structure
- References [1]
- Comments [0]
- Validations
- Western blot [1]
- Immunohistochemistry [2]
Submit
Validation data
Reference
Comment
Report error
- Product number
- 17881-1-AP - Provider product page

- Provider
- Proteintech Group
- Proper citation
- Proteintech Cat#17881-1-AP, RRID:AB_10548743
- Product name
- THOC7 antibody
- Antibody type
- Polyclonal
- Description
- KD/KO validated THOC7 antibody (Cat. #17881-1-AP) is a rabbit polyclonal antibody that shows reactivity with human, mouse, rat and has been validated for the following applications: IF, IHC, WB,ELISA.
- Reactivity
- Human, Mouse, Rat
- Host
- Rabbit
- Conjugate
- Unconjugated
- Isotype
- IgG
- Vial size
- 20ul, 150ul
Submitted references Murine leukemia virus uses TREX components for efficient nuclear export of unspliced viral transcripts.
Sakuma T, Tonne JM, Ikeda Y
Viruses 2014 Mar 10;6(3):1135-48
Viruses 2014 Mar 10;6(3):1135-48
No comments: Submit comment
Supportive validation
- Submitted by
- Proteintech Group (provider)
- Main image

- Experimental details
- mouse testis tissue were subjected to SDS PAGE followed by western blot with 17881-1-AP(THOC7 antibody) at dilution of 1:800
- Sample type
- tissue
Supportive validation
- Submitted by
- Proteintech Group (provider)
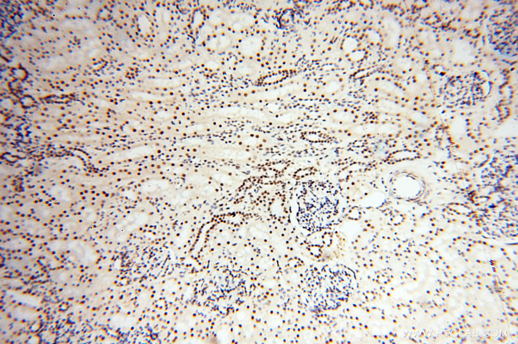
- Main image

- Experimental details
- Immunohistochemical of paraffin-embedded human kidney using 17881-1-AP(THOC7 antibody) at dilution of 1:100 (under 10x lens)
- Sample type
- tissue
- Submitted by
- Proteintech Group (provider)
- Main image

- Experimental details
- The THOC7 antibody from Proteintech is a rabbit polyclonal antibody to a recombinant protein of human THOC7. This antibody recognizes human,mouse,rat antigen. The THOC7 antibody has been validated for the following applications: ELISA, WB, IHC analysis.