Antibody data
- Antibody Data
- Antigen structure
- References [0]
- Comments [0]
- Validations
- Western blot [1]
- Immunocytochemistry [3]
- Immunohistochemistry [6]
Submit
Validation data
Reference
Comment
Report error
- Product number
- PA5-58101 - Provider product page

- Provider
- Invitrogen Antibodies
- Product name
- PSTK Polyclonal Antibody
- Antibody type
- Polyclonal
- Antigen
- Recombinant protein fragment
- Description
- Immunogen sequence: LPPETIHLMG RKLEKPNPEK NAWEHNSLTI PSPACASEAS LEVTDLLLTA LENPVKYAED NMEQKDTDRI ICSTN Highest antigen sequence identity to the following orthologs: Mouse - 81%, Rat - 83%.
- Reactivity
- Human
- Host
- Rabbit
- Isotype
- IgG
- Vial size
- 100 μL
- Concentration
- 0.4 mg/mL
- Storage
- Store at 4°C short term. For long term storage, store at -20°C, avoiding freeze/thaw cycles.
No comments: Submit comment
Supportive validation
- Submitted by
- Invitrogen Antibodies (provider)
- Main image

- Experimental details
- Western blot analysis of PSTK in control (vector only transfected HEK293T lysate) and PSTK over-expression lysate (Co-expressed with a C-terminal myc-DDK tag (~3.1 kDa) in mammalian HEK293T cells). Samples were probed using a PSTK Polyclonal Antibody (Product # PA5-58101).
Supportive validation
- Submitted by
- Invitrogen Antibodies (provider)
- Main image

- Experimental details
- Immunofluorescent staining of PSTK in human cell line U-251 MG shows positivity in nucleus & actin filaments. Samples were probed using a PSTK Polyclonal Antibody (Product # PA5-58101).
- Submitted by
- Invitrogen Antibodies (provider)
- Main image

- Experimental details
- Immunofluorescent staining of PSTK in human cell line A-431 using a PSTK Polyclonal Antibody (Product # PA5-58101) shows localization to nuclear bodies and actin filaments.
- Submitted by
- Invitrogen Antibodies (provider)
- Main image

- Experimental details
- Immunofluorescent staining of PSTK in human cell line A-431 using a PSTK Polyclonal Antibody (Product # PA5-58101) shows localization to nuclear bodies and actin filaments.
Supportive validation
- Submitted by
- Invitrogen Antibodies (provider)
- Main image

- Experimental details
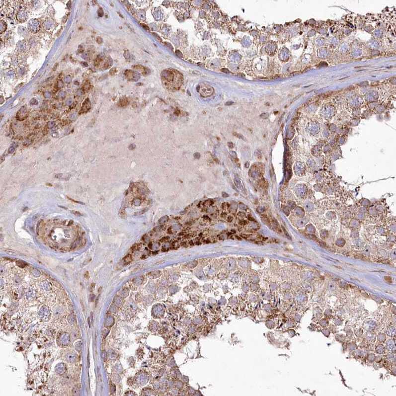
- Immunohistochemical analysis of PSTK in human Testis using PSTK Polyclonal Antibody (Product # PA5-58101) shows strong granular cytoplasmic positivity in Leydig cells.
- Submitted by
- Invitrogen Antibodies (provider)
- Main image

- Experimental details
- Immunohistochemical analysis of PSTK in human Fallopian tube using PSTK Polyclonal Antibody (Product # PA5-58101) shows moderate granular cytoplasmic positivity in glandular cells.
- Submitted by
- Invitrogen Antibodies (provider)
- Main image

- Experimental details
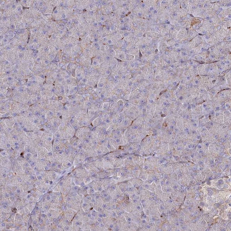
- Immunohistochemical analysis of PSTK in human Pancreas using PSTK Polyclonal Antibody (Product # PA5-58101) shows low expression in exocrine glandular cells as expected.
- Submitted by
- Invitrogen Antibodies (provider)
- Main image

- Experimental details
- Immunohistochemical analysis of PSTK in human Prostate using PSTK Polyclonal Antibody (Product # PA5-58101) shows strong granular cytoplasmic positivity in smooth muscle cells.
- Submitted by
- Invitrogen Antibodies (provider)
- Main image

- Experimental details
- Immunohistochemical analysis of PSTK in human Testis using PSTK Polyclonal Antibody (Product # PA5-58101) shows strong granular cytoplasmic positivity in Leydig cells.
- Submitted by
- Invitrogen Antibodies (provider)
- Main image

- Experimental details
- Immunohistochemical analysis of PSTK in human Pancreas using PSTK Polyclonal Antibody (Product # PA5-58101) shows low expression in exocrine glandular cells as expected.