Antibody data
- Antibody Data
- Antigen structure
- References [0]
- Comments [0]
- Validations
- Immunocytochemistry [2]
- Immunohistochemistry [1]
Submit
Validation data
Reference
Comment
Report error
- Product number
- PA5-59153 - Provider product page

- Provider
- Invitrogen Antibodies
- Product name
- CEP57L1 Polyclonal Antibody
- Antibody type
- Polyclonal
- Antigen
- Recombinant protein fragment
- Description
- Immunogen sequence: SKKTKCIKRR PPWQICSKFG ALPFVAEKMR QHRDPHILQK PFNVTETRCL PKPSRTTSWC KAIPPDSEKS ISICDNLSEL LMAMQDELDQ MSMEHQE Highest antigen sequence identity to the following orthologs: Mouse - 44%, Rat - 43%.
- Reactivity
- Human
- Host
- Rabbit
- Isotype
- IgG
- Vial size
- 100 μL
- Concentration
- 0.5 mg/mL
- Storage
- Store at 4°C short term. For long term storage, store at -20°C, avoiding freeze/thaw cycles.
No comments: Submit comment
Supportive validation
- Submitted by
- Invitrogen Antibodies (provider)
- Main image

- Experimental details
- Immunofluorescent staining of CEP57L1 in human cell line U-251 MG shows positivity in plasma membrane & cytoplasm. Samples were probed using a CEP57L1 Polyclonal Antibody (Product # PA5-59153).
- Submitted by
- Invitrogen Antibodies (provider)
- Main image

- Experimental details
- Immunofluorecent analysis of CEP57L1 in human cell line U-251 MG using CEP57L1 Polyclonal Antibody (Product # PA5-59153). Staining shows localization to plasma membrane and cytosol.
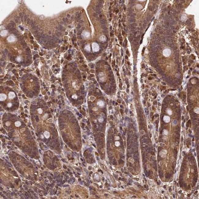
Supportive validation
- Submitted by
- Invitrogen Antibodies (provider)
- Main image

- Experimental details
- Immunohistochemical analysis of CEP57L1 in human duodenum using CEP57L1 Polyclonal Antibody (Product # PA5-59153) shows moderate cytoplasmic and nuclear positivity in glandular cells.