Antibody data
- Antibody Data
- Antigen structure
- References [1]
- Comments [0]
- Validations
- Western blot [1]
- Immunohistochemistry [1]
Submit
Validation data
Reference
Comment
Report error
- Product number
- NBP2-55178 - Provider product page

- Provider
- Novus Biologicals
- Product name
- Rabbit Polyclonal COPG Antibody
- Antibody type
- Polyclonal
- Description
- Affinity purified. Specificity of human COPG antibody verified on a Protein Array containing target protein plus 383 other non-specific proteins.
- Reactivity
- Human
- Host
- Rabbit
- Isotype
- IgG
- Vial size
- 100 ul
- Storage
- Store at 4C short term. Aliquot and store at -20C long term. Avoid freeze-thaw cycles.
Submitted references The interactome of the prostate-specific protein Anoctamin 7.
Kaikkonen E, Takala A, Pursiheimo JP, Wahlström G, Schleutker J
Cancer biomarkers : section A of Disease markers 2020;28(1):91-100
Cancer biomarkers : section A of Disease markers 2020;28(1):91-100
No comments: Submit comment
Supportive validation
- Submitted by
- Novus Biologicals (provider)
- Main image

- Experimental details
- Western Blot: COPG Antibody [NBP2-55178] - Analysis using Anti-COPG1 antibody NBP2-55178 (A) shows similar pattern to independent antibody NBP1-85514 (B).
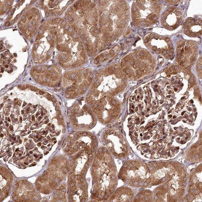
Supportive validation
- Submitted by
- Novus Biologicals (provider)
- Main image

- Experimental details
- Immunohistochemistry-Paraffin: COPG Antibody [NBP2-55178] - Staining of human kidney shows moderate cytoplasmic positivity in cells in tubules.