Antibody data
- Antibody Data
- Antigen structure
- References [0]
- Comments [0]
- Validations
- Immunohistochemistry [6]
Submit
Validation data
Reference
Comment
Report error
- Product number
- NBP1-88593 - Provider product page

- Provider
- Novus Biologicals
- Proper citation
- Novus Cat#NBP1-88593, RRID:AB_11033619
- Product name
- Rabbit Polyclonal CEP70 Antibody
- Antibody type
- Polyclonal
- Description
- Immunogen affinity purified. Specificity of human CEP70 antibody verified on a Protein Array containing target protein plus 383 other non-specific proteins.
- Reactivity
- Human
- Host
- Rabbit
- Isotype
- IgG
- Vial size
- 0.1 ml
- Storage
- Store at 4C short term. Aliquot and store at -20C long term. Avoid freeze-thaw cycles.
No comments: Submit comment
Supportive validation
- Submitted by
- Novus Biologicals (provider)
- Main image

- Experimental details
- Immunohistochemistry-Paraffin: CEP70 Antibody [NBP1-88593] - Staining of human rectum shows strong cytoplasmic and nuclear positivity in glandular cells.
- Submitted by
- Novus Biologicals (provider)
- Main image

- Experimental details
- Immunohistochemistry-Paraffin: CEP70 Antibody [NBP1-88593] - Staining of human colon, kidney, liver and testis using Anti-CEP70 antibody NBP1-88593 (A) shows similar protein distribution across tissues to independent antibody NBP1-88594 (B).
- Submitted by
- Novus Biologicals (provider)
- Main image

- Experimental details
- Immunohistochemistry-Paraffin: CEP70 Antibody [NBP1-88593] - Staining of human liver.
- Submitted by
- Novus Biologicals (provider)
- Main image

- Experimental details
- Immunohistochemistry-Paraffin: CEP70 Antibody [NBP1-88593] - Staining of human colon.
- Submitted by
- Novus Biologicals (provider)
- Main image

- Experimental details
- Immunohistochemistry-Paraffin: CEP70 Antibody [NBP1-88593] - Staining of human testis.
- Submitted by
- Novus Biologicals (provider)
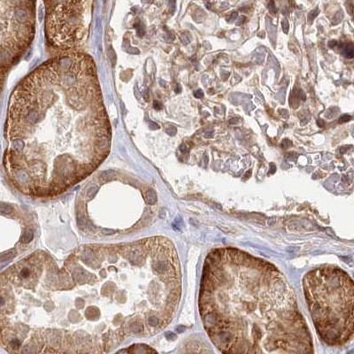
- Main image

- Experimental details
- Immunohistochemistry-Paraffin: CEP70 Antibody [NBP1-88593] - Staining of human kidney.