Antibody data
- Antibody Data
- Antigen structure
- References [0]
- Comments [0]
- Validations
- Immunohistochemistry [1]
Submit
Validation data
Reference
Comment
Report error
- Product number
- PA5-116614 - Provider product page

- Provider
- Invitrogen Antibodies
- Product name
- ZDHHC18 Polyclonal Antibody
- Antibody type
- Polyclonal
- Antigen
- Recombinant full-length protein
- Description
- Positive Samples: Raji, HeLa, Mouse brain, Rat brain Immunogen sequence: YLVASNLTTN EDIKGSWSSK RGGEASVNPY SHKSIITNCC AVLCGPLPPS LIDRRGFVQS DTVLPSPIRS DEPACRAKPD ASMVGGHP
- Reactivity
- Human, Mouse, Rat
- Host
- Rabbit
- Isotype
- IgG
- Vial size
- 100 μL
- Concentration
- 0.99 mg/mL
- Storage
- -20°C, Avoid Freeze/Thaw Cycles
No comments: Submit comment
Supportive validation
- Submitted by
- Invitrogen Antibodies (provider)
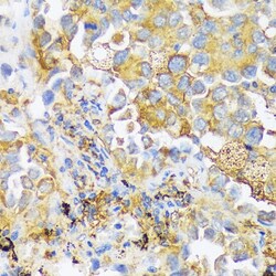
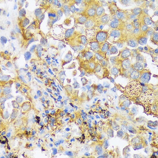
- Main image

- Experimental details
- Immunohistochemistry analysis of ZDHHC18 in paraffin-embedded human lung cancer. Samples were incubated with ZDHHC18 Polyclonal antibody (Product # PA5-116614) using a dilution of 1:100 (40x lens). Perform microwave antigen retrieval with 10 mM PBS buffer pH 7.2 before commencing with IHC staining protocol.