Antibody data
- Antibody Data
- Antigen structure
- References [0]
- Comments [0]
- Validations
- Western blot [2]
- Immunohistochemistry [1]
Submit
Validation data
Reference
Comment
Report error
- Product number
- AP54346PU-N - Provider product page

- Provider
- Acris Antibodies GmbH
- Proper citation
- Acris Antibodies GmbH Cat#AP54346PU-N, RRID:AB_11148955
- Product name
- anti TPRG1 (N-term)
- Antibody type
- Polyclonal
- Antigen
- KLH conjugated synthetic peptide between 6-35 amino acids from the N-terminal region of human TPRG1
- Reactivity
- Human, Mouse
- Host
- Rabbit
- Vial size
- 0.1 mg
- Concentration
- 0.25 mg/ml
No comments: Submit comment
Supportive validation
- Submitted by
- Acris Antibodies GmbH (provider)
- Main image

- Experimental details
- TPRG1 Antibody (N-term) (AP54346PU-N) western blot analysis in HepG2 cell line lysates (35 µg/lane). This demonstrates the TPRG1 antibody detected the TPRG1 protein (arrow).
- Submitted by
- Acris Antibodies GmbH (provider)
- Main image

- Experimental details
- TPRG1 Antibody (N-term) (AP54346PU-N) western blot analysis in mouse liver tissue lysates (35 µg/lane). This demonstrates the TPRG1 antibody detected the TPRG1 protein (arrow).
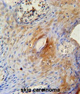
Supportive validation
- Submitted by
- Acris Antibodies GmbH (provider)
- Main image

- Experimental details
- TPRG1 Antibody (N-term) (AP54346PU-N) immunohistochemistry analysis in formalin fixed and paraffin embedded human skin carcinoma followed by peroxidase conjugation of the secondary antibody and DAB staining. This data demonstrates the use of the TPRG1 Antibody (N-term) for immunohistochemistry. Clinical relevance has not been evaluated.