Antibody data
- Antibody Data
- Antigen structure
- References [0]
- Comments [0]
- Validations
- Western blot [2]
- Immunohistochemistry [3]
- Flow cytometry [3]
Submit
Validation data
Reference
Comment
Report error
- Product number
- NBP2-03563 - Provider product page

- Provider
- Novus Biologicals
- Product name
- Mouse Monoclonal DCLRE1B Antibody
- Antibody type
- Monoclonal
- Description
- Affinity purified.
- Reactivity
- Human
- Host
- Mouse
- Isotype
- IgG
- Vial size
- 0.1 ml
- Concentration
- 0.62 mg/ml
- Storage
- Store at -20C. Avoid freeze-thaw cycles.
No comments: Submit comment
Supportive validation
- Submitted by
- Novus Biologicals (provider)
- Main image

- Experimental details
- Western Blot: DCLRE1B Antibody (OTI2B7) [NBP2-03563] - 1) 293T cell lysate. 2) 293T cell transfected to overexpress 3xFlag-DCLRE1B. WB image submitted by a verified customer review.
- Submitted by
- Novus Biologicals (provider)
- Main image

- Experimental details
- Western Blot: DCLRE1B Antibody (OTI2B7) [NBP2-03563] - HEK293T cells were transfected with the pCMV6-ENTRY control (Left lane) or pCMV6-ENTRY DCLRE1B (Right lane) cDNA for 48 hrs and lysed. Equivalent amounts of cell lysates (5 ug per lane) were separated by SDS-PAGE and immunoblotted with anti-DCLRE1B.
Supportive validation
- Submitted by
- Novus Biologicals (provider)
- Main image

- Experimental details
- Immunohistochemistry-Paraffin: DCLRE1B Antibody (OTI2B7) [NBP2-03563] - Staining of paraffin-embedded Adenocarcinoma of Human endometrium tissue using anti-DCLRE1B mouse monoclonal antibody.
- Submitted by
- Novus Biologicals (provider)
- Main image

- Experimental details
- Immunohistochemistry-Paraffin: DCLRE1B Antibody (OTI2B7) [NBP2-03563] - Staining of paraffin-embedded Carcinoma of Human bladder tissue using anti-DCLRE1B mouse monoclonal antibody.
- Submitted by
- Novus Biologicals (provider)
- Main image

- Experimental details
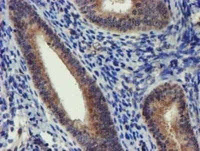
- Immunohistochemistry-Paraffin: DCLRE1B Antibody (OTI2B7) [NBP2-03563] - Staining of paraffin-embedded Human endometrium tissue using anti-DCLRE1B mouse monoclonal antibody.
Supportive validation
- Submitted by
- Novus Biologicals (provider)
- Main image

- Experimental details
- Flow Cytometry: DCLRE1B Antibody (OTI2B7) [NBP2-03563] - Analysis of Hela cells, using anti-DCLRE1B antibody, (Red), compared to a nonspecific negative control antibody (Blue).
- Submitted by
- Novus Biologicals (provider)
- Main image

- Experimental details
- Flow Cytometry: DCLRE1B Antibody (OTI2B7) [NBP2-03563] - Analysis of Jurkat cells, using anti-DCLRE1B antibody, (Red), compared to a nonspecific negative control antibody (Blue).
- Submitted by
- Novus Biologicals (provider)
- Main image

- Experimental details
- Flow Cytometry: DCLRE1B Antibody (OTI2B7) [NBP2-03563] - HEK293T cells transfected with either overexpression plasmid (Red) or empty vector control plasmid (Blue) were immunostained by anti-DCLRE1B antibody, and then analyzed by flow cytometry.