Antibody data
- Antibody Data
- Antigen structure
- References [2]
- Comments [0]
- Validations
- Immunohistochemistry [5]
Submit
Validation data
Reference
Comment
Report error
- Product number
- NBP1-84412 - Provider product page

- Provider
- Novus Biologicals
- Proper citation
- Novus Cat#NBP1-84412, RRID:AB_11027522
- Product name
- Rabbit Polyclonal RPGR Antibody
- Antibody type
- Polyclonal
- Description
- Immunogen affinity purified. Specificity of human RPGR antibody verified on a Protein Array containing target protein plus 383 other non-specific proteins.
- Reactivity
- Human
- Host
- Rabbit
- Isotype
- IgG
- Vial size
- 0.1 ml
- Storage
- Store at 4C short term. Aliquot and store at -20C long term. Avoid freeze-thaw cycles.
Submitted references The role of RPGR in cilia formation and actin stability.
Zebrafish Rpgr is required for normal retinal development and plays a role in dynein-based retrograde transport processes.
Gakovic M, Shu X, Kasioulis I, Carpanini S, Moraga I, Wright AF
Human molecular genetics 2011 Dec 15;20(24):4840-50
Human molecular genetics 2011 Dec 15;20(24):4840-50
Zebrafish Rpgr is required for normal retinal development and plays a role in dynein-based retrograde transport processes.
Shu X, Zeng Z, Gautier P, Lennon A, Gakovic M, Patton EE, Wright AF
Human molecular genetics 2010 Feb 15;19(4):657-70
Human molecular genetics 2010 Feb 15;19(4):657-70
No comments: Submit comment
Supportive validation
- Submitted by
- Novus Biologicals (provider)
- Main image

- Experimental details
- Immunohistochemistry-Paraffin: RPGR Antibody [NBP1-84412] - Staining of human soft tissues shows no positivity in adipocytes.
- Submitted by
- Novus Biologicals (provider)
- Main image

- Experimental details
- Immunohistochemistry-Paraffin: RPGR Antibody [NBP1-84412] - Staining of human testis shows moderate cytoplasmic positivity in cells in seminiferous ducts.
- Submitted by
- Novus Biologicals (provider)
- Main image

- Experimental details
- Immunohistochemistry-Paraffin: RPGR Antibody [NBP1-84412] - Staining of human small intestine shows moderate to strong cytoplasmic positivity in glandular cells.
- Submitted by
- Novus Biologicals (provider)
- Main image

- Experimental details
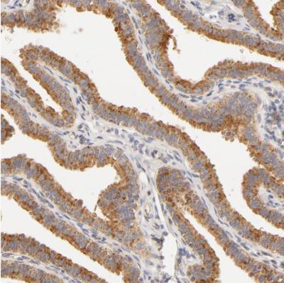
- Immunohistochemistry-Paraffin: RPGR Antibody [NBP1-84412] - Staining of human fallopian tube shows moderate to strong cytoplasmic positivity in glandular cells.
- Submitted by
- Novus Biologicals (provider)
- Main image

- Experimental details
- Immunohistochemistry-Paraffin: RPGR Antibody [NBP1-84412] - Staining of human liver shows moderate to strong cytoplasmic positivity in hepatocytes.