Antibody data
- Antibody Data
- Antigen structure
- References [0]
- Comments [0]
- Validations
- Western blot [1]
- Immunohistochemistry [6]
Submit
Validation data
Reference
Comment
Report error
- Product number
- NBP1-82988 - Provider product page

- Provider
- Novus Biologicals
- Proper citation
- Novus Cat#NBP1-82988, RRID:AB_11002218
- Product name
- Rabbit Polyclonal CEP68 Antibody
- Antibody type
- Polyclonal
- Description
- Immunogen affinity purified. Specificity of human CEP68 antibody verified on a Protein Array containing target protein plus 383 other non-specific proteins.
- Reactivity
- Human
- Host
- Rabbit
- Isotype
- IgG
- Vial size
- 0.1 ml
- Storage
- Store at 4C short term. Aliquot and store at -20C long term. Avoid freeze-thaw cycles.
No comments: Submit comment
Supportive validation
- Submitted by
- Novus Biologicals (provider)
- Main image

- Experimental details
- Western Blot: CEP68 Antibody [NBP1-82988] - Lane 1: Marker [kDa] 250, 130, 95, 72, 55, 36, 28, 17, 10Lane 2: Human cell line RT-4Lane 3: Human cell line U-251MG sp
Supportive validation
- Submitted by
- Novus Biologicals (provider)
- Main image

- Experimental details
- Immunohistochemistry-Paraffin: CEP68 Antibody [NBP1-82988] - Staining of human kidney shows strong cytoplasmic positivity in cells in tubules.
- Submitted by
- Novus Biologicals (provider)
- Main image

- Experimental details
- Immunohistochemistry-Paraffin: CEP68 Antibody [NBP1-82988] - Staining of human fallopian tube, kidney, liver and lymph node using Anti-CEP68 antibody NBP1-82988 (A) shows similar protein distribution across tissues to independent antibody NBP1-82989 (B).
- Submitted by
- Novus Biologicals (provider)
- Main image

- Experimental details
- Immunohistochemistry-Paraffin: CEP68 Antibody [NBP1-82988] - Staining of human lymph node.
- Submitted by
- Novus Biologicals (provider)
- Main image

- Experimental details
- Immunohistochemistry-Paraffin: CEP68 Antibody [NBP1-82988] - Staining of human kidney.
- Submitted by
- Novus Biologicals (provider)
- Main image

- Experimental details
- Immunohistochemistry-Paraffin: CEP68 Antibody [NBP1-82988] - Staining of human liver.
- Submitted by
- Novus Biologicals (provider)
- Main image

- Experimental details
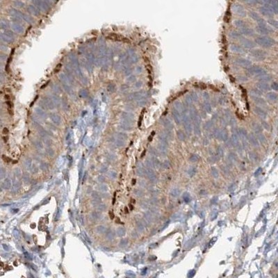
- Immunohistochemistry-Paraffin: CEP68 Antibody [NBP1-82988] - Staining of human fallopian tube.