Antibody data
- Antibody Data
- Antigen structure
- References [0]
- Comments [0]
- Validations
- Western blot [1]
- Immunohistochemistry [5]
Submit
Validation data
Reference
Comment
Report error
- Product number
- LS-C831172 - Provider product page

- Provider
- LSBio
- Product name
- C14orf2 Antibody LS-C831172
- Antibody type
- Polyclonal
- Description
- Antigen Affinity purification
- Reactivity
- Human, Mouse
- Host
- Rabbit
- Isotype
- IgG
- Storage
- Store at -20°C. Avoid freeze-thaw cycles.
No comments: Submit comment
Enhanced validation
- Submitted by
- LSBio (provider)
- Enhanced method
- Genetic validation
- Main image

- Experimental details
- Western blot analysis of 293T and RAW264.7 cell Human fetal brain tissue Jurkat and 231 cell Human heart tissue Hela cell lysates using C14orf2 Polyclonal Antibody at dilution of 1:600
Supportive validation
- Submitted by
- LSBio (provider)
- Enhanced method
- Genetic validation
- Main image

- Experimental details
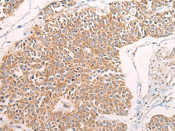
- Immunohistochemistry of paraffin-embedded Human prost at e cancer tissue using C14orf2 Polyclonal Antibody at dilution of 1:60(×200)
- Submitted by
- LSBio (provider)
- Enhanced method
- Genetic validation
- Main image

- Experimental details
- Immunohistochemistry of paraffin-embedded Human brain tissue using C14orf2 Polyclonal Antibody at dilution of 1:60(×200)
- Submitted by
- LSBio (provider)
- Enhanced method
- Genetic validation
- Main image

- Experimental details
- Immunohistochemistry of paraffin-embedded Human brain tissue using C14orf2 Polyclonal Antibody at dilution of 1:60(×200)
- Submitted by
- LSBio (provider)
- Enhanced method
- Genetic validation
- Main image

- Experimental details
- Immunohistochemistry of paraffin-embedded Human brain tissue using C14orf2 Polyclonal Antibody at dilution of 1:60(×200)
- Submitted by
- LSBio (provider)
- Enhanced method
- Genetic validation
- Main image

- Experimental details
- Immunohistochemistry of paraffin-embedded Human prost at e cancer tissue using C14orf2 Polyclonal Antibody at dilution of 1:60(×200)