Antibody data
- Antibody Data
- Antigen structure
- References [0]
- Comments [0]
- Validations
- Immunohistochemistry [1]
Submit
Validation data
Reference
Comment
Report error
- Product number
- 22511 - Provider product page

- Provider
- Signalway Antibody LLC
- Proper citation
- Signalway Cat#22511, RRID:AB_11122482
- Product name
- p84 antibody
- Antibody type
- Polyclonal
- Antigen
- Recombinant protein fragment contain a sequence corresponding to a region within amino acids 1 and 324 of Nuclear Matrix Protein p84
- Host
- Rabbit
- Conjugate
- Unconjugated
- Vial size
- 100µl
No comments: Submit comment
Supportive validation
- Submitted by
- Signalway Antibody LLC (provider)
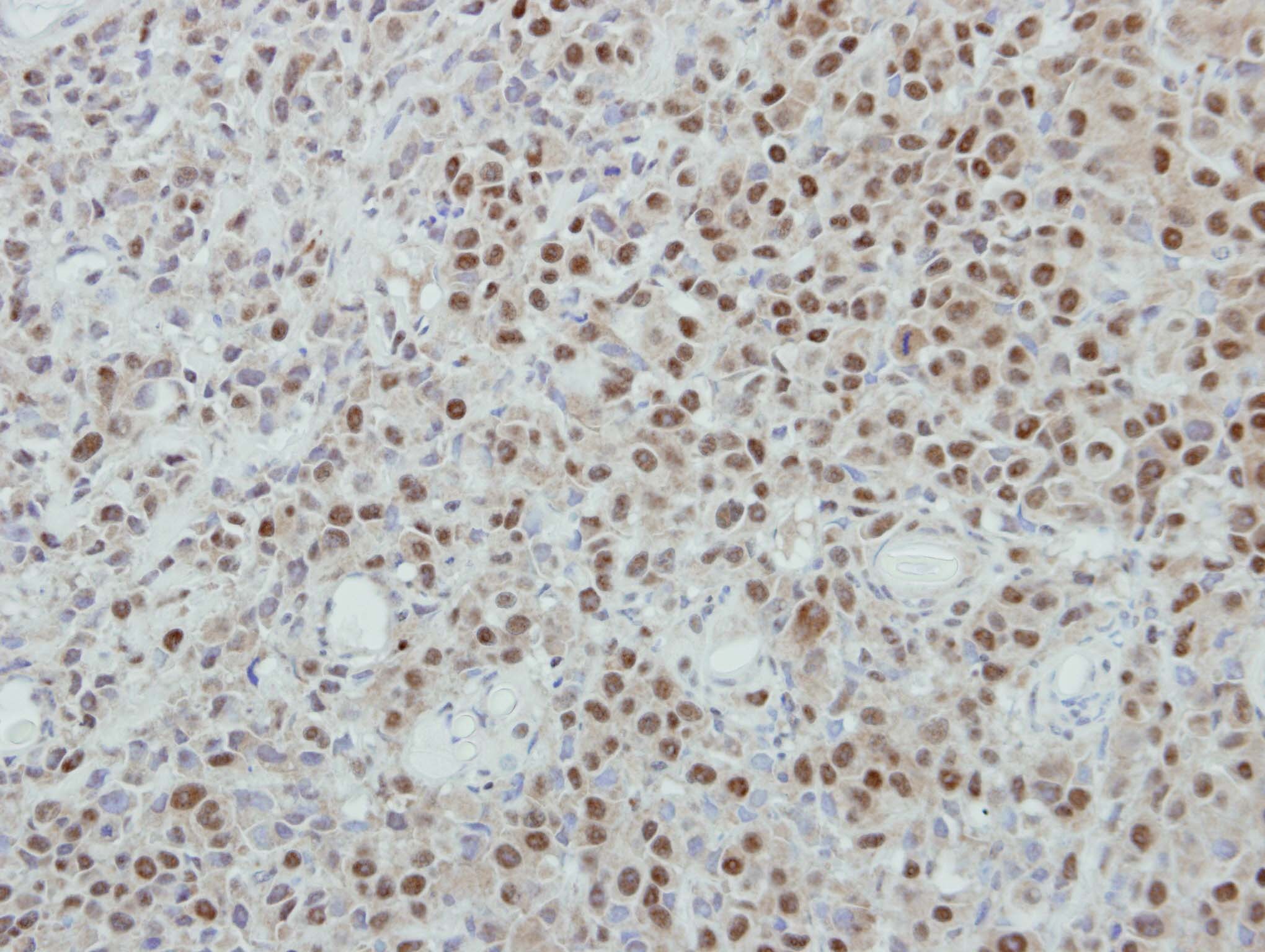
- Main image

- Experimental details
- Immunohistochemical analysis of paraffin-embedded HBL435 xenograft, using Nuclear Matrix Protein p84 antibody at 1: 500 dilution.