Antibody data
- Antibody Data
- Antigen structure
- References [0]
- Comments [0]
- Validations
- Immunocytochemistry [3]
- Immunohistochemistry [1]
Submit
Validation data
Reference
Comment
Report error
- Product number
- PA5-22006 - Provider product page

- Provider
- Invitrogen Antibodies
- Product name
- SUCLG1 Polyclonal Antibody
- Antibody type
- Polyclonal
- Antigen
- Recombinant full-length protein
- Description
- Recommended positive controls: A431, mouse brain, rat brain. Predicted reactivity: Mouse (93%), Rat (90%), Zebrafish (83%), Pig (86%), Chicken (87%), Bovine (94%). Store product as a concentrated solution. Centrifuge briefly prior to opening the vial.
- Reactivity
- Human, Mouse, Rat
- Host
- Rabbit
- Isotype
- IgG
- Vial size
- 100 μL
- Concentration
- 1 mg/mL
- Storage
- Store at 4°C short term. For long term storage, store at -20°C, avoiding freeze/thaw cycles.
No comments: Submit comment
Supportive validation
- Submitted by
- Invitrogen Antibodies (provider)
- Main image

- Experimental details
- Immunofluorescent analysis of SUCLG1 showing staining in the mitochondria of HeLa cells. HeLa cells were fixed in 2% paraformaldehyde/culture medium at 37ºC for 30 min and stained using a SUCLG1 polyclonal antibody (Product # PA5-22006) diluted at 1:500. Blue: Hoechst 33342 staining.
- Submitted by
- Invitrogen Antibodies (provider)
- Main image

- Experimental details
- SUCLG1 Polyclonal Antibody detects SUCLG1 protein at mitochondria by confocal immunofluorescent analysis. Sample: HeLa cells were fixed in 2% paraformaldehyde/culture medium at 37ºC for 30 min. Green: SUCLG1 protein stained by SUCLG1 Polyclonal Antibody (Product # PA5-22006) diluted at 1:500. Blue: Hoechst 33342 staining. [Images captured by Olympus FV10i Confocal Laser Scanning Microscope].
- Submitted by
- Invitrogen Antibodies (provider)
- Main image

- Experimental details
- SUCLG1 Polyclonal Antibody detects SUCLG1 protein at mitochondria by confocal immunofluorescent analysis. Sample: HeLa cells were fixed in 2% paraformaldehyde/culture medium at 37ºC for 30 min. Green: SUCLG1 protein stained by SUCLG1 Polyclonal Antibody (Product # PA5-22006) diluted at 1:500. Blue: Hoechst 33342 staining. [Images captured by Olympus FV10i Confocal Laser Scanning Microscope].
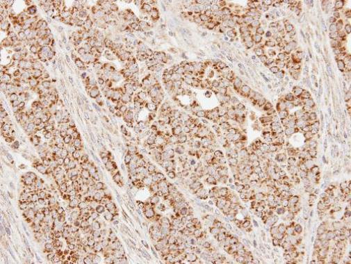
Supportive validation
- Submitted by
- Invitrogen Antibodies (provider)
- Main image

- Experimental details
- Immunohistochemical analysis of paraffin-embedded N87 xenograft, using SUCLG1 (Product # PA5-22006) antibody at 1:100 dilution. Antigen Retrieval: EDTA based buffer, pH 8.0, 15 min.