Antibody data
- Antibody Data
- Antigen structure
- References [0]
- Comments [0]
- Validations
- Western blot [1]
- Immunohistochemistry [1]
Submit
Validation data
Reference
Comment
Report error
- Product number
- GTX121282 - Provider product page

- Provider
- GeneTex
- Proper citation
- GeneTex Cat#GTX121282, RRID:AB_10725970
- Product name
- PSD4 antibody [C1C2], Internal
- Antibody type
- Polyclonal
- Reactivity
- Human
- Host
- Rabbit
No comments: Submit comment
Supportive validation
- Submitted by
- GeneTex (provider)
- Main image

- Experimental details
- Sample (30 ug of whole cell lysate) A: A431 7.5% SDS PAGE GTX121282 diluted at 1:1000
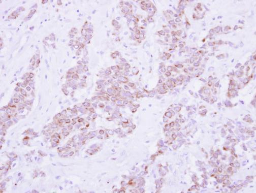
Supportive validation
- Submitted by
- GeneTex (provider)
- Main image

- Experimental details
- Immunohistochemical analysis of paraffin-embedded human breast cancer, using PSD4(GTX121282) antibody at 1:250 dilution.