Antibody data
- Antibody Data
- Antigen structure
- References [0]
- Comments [0]
- Validations
- Western blot [1]
- Immunohistochemistry [5]
Submit
Validation data
Reference
Comment
Report error
- Product number
- NBP2-45513 - Provider product page

- Provider
- Novus Biologicals
- Product name
- Mouse monoclonal RABL2A Antibody
- Antibody type
- Monoclonal
- Description
- Affinity purified.
- Reactivity
- Human
- Host
- Mouse
- Isotype
- IgG
- Vial size
- 0.1 ml
- Concentration
- 1 mg/ml
- Storage
- Store at -20C. Avoid freeze-thaw cycles.
No comments: Submit comment
Supportive validation
- Submitted by
- Novus Biologicals (provider)
- Main image

- Experimental details
- Western Blot: RABL2A Antibody (4A3) [NBP2-45513] - Analysis of HEK293T cells were transfected with the pCMV6-ENTRY control (Left lane) or pCMV6-ENTRY RABL2A.
Supportive validation
- Submitted by
- Novus Biologicals (provider)
- Main image

- Experimental details
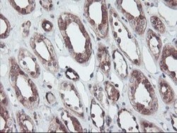
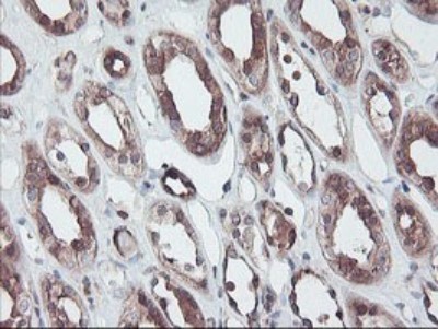
- Immunohistochemistry: RABL2A Antibody (4A3) [NBP2-45513] - Analysis of Human Kidney tissue within the normal limits.
- Submitted by
- Novus Biologicals (provider)
- Main image

- Experimental details
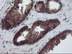
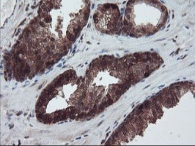
- Immunohistochemistry: RABL2A Antibody (4A3) [NBP2-45513] - Analysis of Adenocarcinoma of Human ovary tissue.
- Submitted by
- Novus Biologicals (provider)
- Main image

- Experimental details
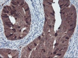
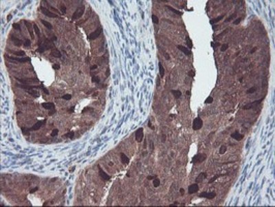
- Immunohistochemistry: RABL2A Antibody (4A3) [NBP2-45513] - Analysis of Carcinoma of Human prostate tissue.
- Submitted by
- Novus Biologicals (provider)
- Main image

- Experimental details
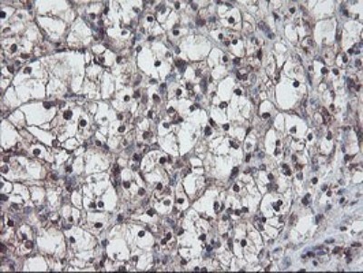
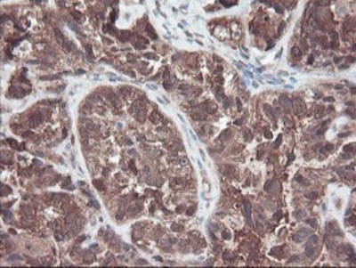
- Immunohistochemistry: RABL2A Antibody (4A3) [NBP2-45513] - Analysis of Carcinoma of Human kidney tissue.
- Submitted by
- Novus Biologicals (provider)
- Main image

- Experimental details
- Immunohistochemistry: RABL2A Antibody (4A3) [NBP2-45513] - Analysis of Adenocarcinoma of Human endometrium tissue.