Antibody data
- Antibody Data
- Antigen structure
- References [0]
- Comments [0]
- Validations
- Western blot [2]
- Immunohistochemistry [4]
Submit
Validation data
Reference
Comment
Report error
- Product number
- LS-C378122 - Provider product page

- Provider
- LSBio
- Product name
- NOSTRIN Antibody LS-C378122
- Antibody type
- Polyclonal
- Description
- Protein G purified
- Reactivity
- Human, Mouse
- Host
- Rabbit
- Isotype
- IgG
- Storage
- Short term: -20°C; Long term: -80°C; Avoid freeze-thaw cycles.
No comments: Submit comment
Enhanced validation
- Submitted by
- LSBio (provider)
- Enhanced method
- Genetic validation
- Main image

- Experimental details
- Western blot. All lanes: NOSTRIN antibody at 6 ug/ml. Lane 1: Mouse heart tissue. Lane 2: Mouse brain tissue. Secondary Goat polyclonal to Rabbit IgG at 1:10000 dilution. Predicted band size: 58 kDa. Observed band size: 58 kDa.
- Submitted by
- LSBio (provider)
- Enhanced method
- Genetic validation
- Main image

- Experimental details
- Western blot All lanes: NOSTRIN antibody at 6µg/ml Lane 1: Mouse heart tissue Lane 2: Mouse brain tissue Secondary Goat polyclonal to rabbit IgG at 1/10000 dilution Predicted band size: 58, 55, 49, 65 kDa Observed band size: 58 kDa
Enhanced validation
- Submitted by
- LSBio (provider)
- Enhanced method
- Genetic validation
- Main image

- Experimental details
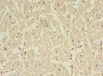
- Immunohistochemistry of paraffin-embedded human heart tissue using antibody at dilution of 1:100.
- Submitted by
- LSBio (provider)
- Enhanced method
- Genetic validation
- Main image

- Experimental details
- Immunohistochemistry of paraffin-embedded human placenta tissue using antibody at dilution of 1:100.
- Submitted by
- LSBio (provider)
- Enhanced method
- Genetic validation
- Main image

- Experimental details
- Immunohistochemistry of paraffin-embedded human placenta tissue using antibody at dilution of 1:100.
- Submitted by
- LSBio (provider)
- Enhanced method
- Genetic validation
- Main image

- Experimental details
- Immunohistochemistry of paraffin-embedded human heart tissue using antibody at dilution of 1:100.