Antibody data
- Antibody Data
- Antigen structure
- References [0]
- Comments [0]
- Validations
- Western blot [1]
- ELISA [1]
- Immunohistochemistry [1]
Submit
Validation data
Reference
Comment
Report error
- Product number
- H00025850-M01 - Provider product page

- Provider
- Abnova Corporation
- Proper citation
- Abnova Corporation Cat#H00025850-M01, RRID:AB_489825
- Product name
- ZNF345 monoclonal antibody (M01), clone 6G10
- Antibody type
- Monoclonal
- Description
- Mouse monoclonal antibody raised against a partial recombinant ZNF345.
- Antigen sequence
MENLTKHSIECSSFRGDWECKNQFERKQGSQEGHF
SEMIFTPEDMPTFSIQHQRIHTDEKLLECKECGKD
FSFVSVLVRHQRIHTGEKPYECKECGKAFGSGANL
AYHQRI- Isotype
- IgG
- Antibody clone number
- 6G10
- Storage
- Store at -20°C or lower. Aliquot to avoid repeated freezing and thawing.
No comments: Submit comment
Supportive validation
- Submitted by
- Abnova Corporation (provider)
- Main image

- Experimental details
- ZNF345 monoclonal antibody (M01), clone 6G10 Western Blot analysis of ZNF345 expression in HeLa ( Cat # L013V1 ).
Supportive validation
- Submitted by
- Abnova Corporation (provider)
- Main image

- Experimental details
- Detection limit for recombinant GST tagged ZNF345 is approximately 0.1ng/ml as a capture antibody.
- Validation comment
- Sandwich ELISA (Recombinant protein)
- Protocol
- Protocol
Supportive validation
- Submitted by
- Abnova Corporation (provider)
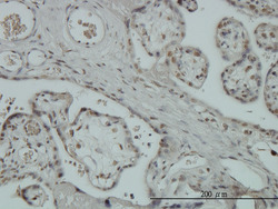
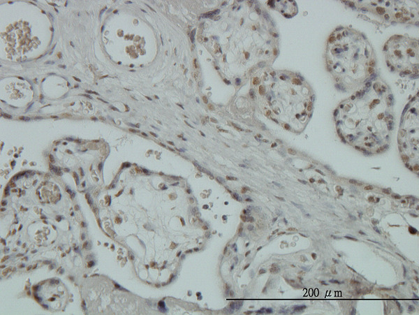
- Main image

- Experimental details
- Immunoperoxidase of monoclonal antibody to ZNF345 on formalin-fixed paraffin-embedded human placenta. [antibody concentration 3 ug/ml]
- Validation comment
- Immunohistochemistry (Formalin/PFA-fixed paraffin-embedded sections)
- Protocol
- Protocol