Antibody data
- Antibody Data
- Antigen structure
- References [0]
- Comments [0]
- Validations
- Western blot [1]
- ELISA [1]
- Immunohistochemistry [1]
Submit
Validation data
Reference
Comment
Report error
- Product number
- H00025850-M01 - Provider product page

- Provider
- Novus Biologicals
- Proper citation
- Novus Cat#H00025850-M01, RRID:AB_2304638
- Product name
- Mouse Monoclonal ZNF345 Antibody
- Antibody type
- Monoclonal
- Description
- IgG purified. ZNF345 - zinc finger protein 345
- Reactivity
- Human
- Host
- Mouse
- Isotype
- IgG
- Vial size
- 0.1 mg
- Storage
- Aliquot and store at -20C or -80C. Avoid freeze-thaw cycles.
No comments: Submit comment
Supportive validation
- Submitted by
- Novus Biologicals (provider)
- Main image

- Experimental details
- Western Blot: ZNF345 Antibody (6G10) [H00025850-M01] - ZNF345 monoclonal antibody (M01), clone 6G10 Analysis of ZNF345 expression in HeLa.
Supportive validation
- Submitted by
- Novus Biologicals (provider)
- Main image

- Experimental details
- Sandwich ELISA: ZNF345 Antibody (6G10) [H00025850-M01] - Detection limit for recombinant GST tagged ZNF345 is approximately 0.1ng/ml as a capture antibody.
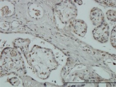
Supportive validation
- Submitted by
- Novus Biologicals (provider)
- Main image

- Experimental details
- Immunohistochemistry-Paraffin: ZNF345 Antibody (6G10) [H00025850-M01] - Analysis of monoclonal antibody to ZNF345 on formalin-fixed paraffin-embedded human placenta. Antibody concentration 3 ug/ml.