Antibody data
- Antibody Data
- Antigen structure
- References [0]
- Comments [0]
- Validations
- Immunohistochemistry [3]
Submit
Validation data
Reference
Comment
Report error
- Product number
- bs-8063R - Provider product page

- Provider
- Bioss
- Product name
- PLEKHM2 Polyclonal Antibody
- Antibody type
- Polyclonal
- Description
- KLH conjugated synthetic peptide derived from human PLEKHM2
- Reactivity
- Human, Mouse, Rat
- Host
- Rabbit
- Conjugate
- Unconjugated
- Isotype
- IgG
- Vial size
- 100ul
- Concentration
- 1ug/ul
- Storage
- Aqueous buffered solution containing 1% BSA, 50% glycerol and 0.09% sodium azide. Store at -20°C for 12 months.
No comments: Submit comment
Supportive validation
- Submitted by
- Bioss (provider)
- Main image

- Experimental details
- Formalin-fixed and paraffin embedded human lung carcinoma labeled with Rabbit Anti PLEKHM2/SKIP Polyclonal Antibody, Unconjugated (bs-8063R) at 1:200 followed by conjugation to the secondary antibody and DAB staining
- Sample type
- Human
- Other comments
- Lung
- Submitted by
- Bioss (provider)
- Main image

- Experimental details
- Formalin-fixed and paraffin embedded rat kidney labeled with Rabbit Anti PLEKHM2/SKIP Polyclonal Antibody, Unconjugated (bs-8063R) at 1:200 followed by conjugation to the secondary antibody and DAB staining
- Sample type
- Rat
- Other comments
- Kidney
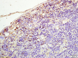
- Submitted by
- Bioss (provider)
- Main image

- Experimental details
- Formalin-fixed and paraffin embedded mouse spleen labeled with Rabbit Anti PLEKHM2/SKIP Polyclonal Antibody, Unconjugated (bs-8063R) at 1:200 followed by conjugation to the secondary antibody and DAB staining
- Sample type
- Mouse
- Other comments
- Spleen