Antibody data
- Antibody Data
- Antigen structure
- References [0]
- Comments [0]
- Validations
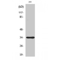
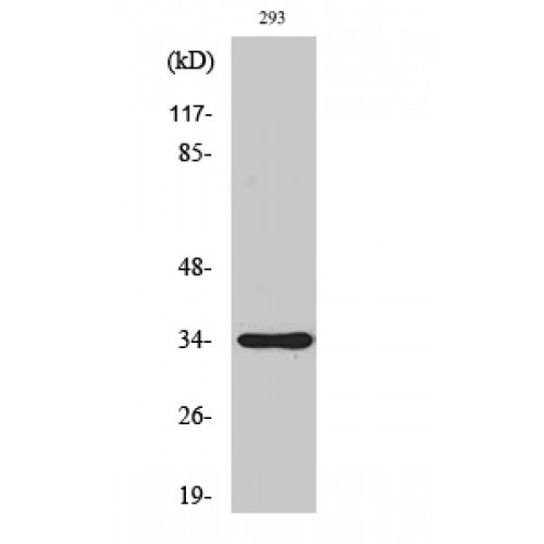
- Western blot [1]
Submit
Validation data
Reference
Comment
Report error
- Product number
- LS-C386040 - Provider product page

- Provider
- LSBio
- Product name
- SH2D5 Antibody (250-330 aa, C-terminal) LS-C386040
- Antibody type
- Polyclonal
- Description
- Immunoaffinity purified
- Reactivity
- Human, Mouse, Rat
- Host
- Rabbit
- Isotype
- IgG
- Storage
- Store at -20°C. Avoid freeze-thaw cycles.
No comments: Submit comment
Supportive validation
- Submitted by
- LSBio (provider)
- Enhanced method
- Genetic validation
- Main image

- Experimental details
- Western blot of SH2D5 antibody