Antibody data
- Antibody Data
- Antigen structure
- References [0]
- Comments [0]
- Validations
- Western blot [1]
- Immunocytochemistry [1]
- Immunohistochemistry [1]
Submit
Validation data
Reference
Comment
Report error
- Product number
- PAB27846 - Provider product page

- Provider
- Abnova Corporation
- Product name
- WDR92 polyclonal antibody
- Antibody type
- Polyclonal
- Description
- Rabbit polyclonal antibody raised against recombinant WDR92.
- Antigen sequence
YNQEERVVCAGYDNGDIKLFDLRNMALRWETNIKN
GVCSLEFDRKDISMNKLVATSLEGKFHVFDMRTQH
PTK- Isotype
- IgG
- Storage
- Store at 4°C. For long term storage store at -20°C.Aliquot to avoid repeated freezing and thawing.
No comments: Submit comment
Supportive validation
- Submitted by
- Abnova Corporation (provider)
- Main image

- Experimental details
- Western blot analysis of Lane 1: RT-4, Lane 2: U-251 MG, Lane 3: Human Plasma, Lane 4: Liver, Lane 5: Tonsil with WDR92 polyclonal antibody (Cat # PAB27846) at 1:100-1:250 dilution.
Supportive validation
- Submitted by
- Abnova Corporation (provider)
- Main image

- Experimental details
- Immunofluorescent staining of human cell line U-2 OS with WDR92 polyclonal antibody (Cat # PAB27846) at 1-4 ug/mL dilution shows positivity in nucleus but not nucleoli.
- Validation comment
- Immunofluorescence
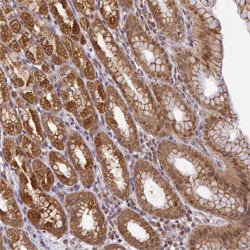
Supportive validation
- Submitted by
- Abnova Corporation (provider)
- Main image

- Experimental details
- Immunohistochemical staining of human stomach, upper with WDR92 polyclonal antibody (Cat # PAB27846) shows strong cytoplasmic and nuclear positivity in glandular cells at 1:50-1:200 dilution.
- Validation comment
- Immunohistochemistry (Formalin/PFA-fixed paraffin-embedded sections)