Antibody data
- Antibody Data
- Antigen structure
- References [0]
- Comments [0]
- Validations
- Western blot [1]
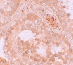
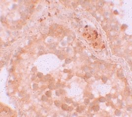
- Immunohistochemistry [1]
Submit
Validation data
Reference
Comment
Report error
- Product number
- ABIN1031163 - Provider product page

- Provider
- antibodies-online
- Product name
- anti-WD Repeat Domain 92 (WDR92) (Middle Region) antibody
- Antibody type
- Polyclonal
- Antigen
- Other
- Description
- Affinity chromatography purified via peptide column
- Reactivity
- Human, Mouse
- Host
- Rabbit
- Epitope
- Middle Region
- Vial size
- 0.1 mg
- Concentration
- 1 mg/mL
- Storage
- 4°C
No comments: Submit comment
Supportive validation
- Submitted by
- antibodies-online (provider)
- Main image

- Experimental details
- Image(s): Western Blotting
Supportive validation
- Submitted by
- antibodies-online (provider)
- Main image

- Experimental details
- Image(s): Immunohistochemistry