Antibody data
- Antibody Data
- Antigen structure
- References [0]
- Comments [0]
- Validations
- Western blot [1]
- Immunohistochemistry [1]
Submit
Validation data
Reference
Comment
Report error
- Product number
- ABIN2028812 - Provider product page

- Provider
- antibodies-online
- Product name
- anti-WD Repeat Domain 92 (WDR92) antibody
- Antibody type
- Polyclonal
- Antigen
- Other
- Description
- Affinity chromatography purified via peptide column.
- Reactivity
- Human, Mouse
- Host
- Rabbit
- Vial size
- 0.1 mg
- Storage
- Keep as concentrated solution. Aliquot and store at -20°C or below.
- Handling
- Avoid multiple freeze-thaw cycles. Do NOT add Sodium Azide! Use of Sodium Azide will inhibit enzyme activity of horseradish peroxidase.
No comments: Submit comment
Supportive validation
- Submitted by
- antibodies-online (provider)
- Main image

- Experimental details
- Image(s): Western Blotting
Supportive validation
- Submitted by
- antibodies-online (provider)
- Main image

- Experimental details
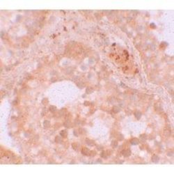
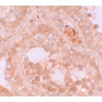
- Image(s): Immunohistochemistry