Antibody data
- Antibody Data
- Antigen structure
- References [0]
- Comments [0]
- Validations
- Western blot [1]
- Immunocytochemistry [1]
- Immunohistochemistry [1]
Submit
Validation data
Reference
Comment
Report error
- Product number
- GTX85162 - Provider product page

- Provider
- GeneTex
- Proper citation
- GeneTex Cat#GTX85162, RRID:AB_10726269
- Product name
- WDR92 antibody
- Antibody type
- Polyclonal
- Reactivity
- Human, Mouse
- Host
- Rabbit
No comments: Submit comment
Supportive validation
- Submitted by
- GeneTex (provider)
- Main image

- Experimental details
- Western blot analysis of WDR92 in human kidney tissue lysate with WDR92 antibody at (A) 1 and (B) 2 ug/ml.
- Validation comment
- WB
Supportive validation
- Submitted by
- GeneTex (provider)
- Main image

- Experimental details
- Immunofluorescence of WDR92 in human testis tissue with WDR92 antibody at 20 μg/mL.
Supportive validation
- Submitted by
- GeneTex (provider)
- Main image

- Experimental details
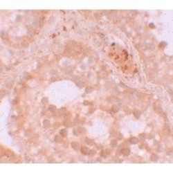
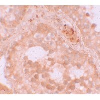
- Immunohistochemistry of WDR92 in human testis tissue with WDR92 antibody at 10 μg/mL.