Antibody data
- Antibody Data
- Antigen structure
- References [0]
- Comments [0]
- Validations
- Western blot [1]
- Immunohistochemistry [1]
Submit
Validation data
Reference
Comment
Report error
- Product number
- PAB19294 - Provider product page

- Provider
- Abnova Corporation
- Proper citation
- Abnova Corporation Cat#PAB19294, RRID:AB_10903056
- Product name
- WDR92 polyclonal antibody
- Antibody type
- Polyclonal
- Description
- Rabbit polyclonal antibody rasied against synthetic peptide of WDR92.
- Storage
- Store at 4°C for three months. For long term storage store at -20°C.Aliquot to avoid repeated freezing and thawing.
No comments: Submit comment
Supportive validation
- Submitted by
- Abnova Corporation (provider)
- Main image

- Experimental details
- Western blot analysis of WDR92 in human kidney tissue lysate with WDR92 polyclonal antibody (Cat # PAB19294) at (1) 1 and (2) 2 ug/mL.
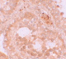
Supportive validation
- Submitted by
- Abnova Corporation (provider)
- Main image

- Experimental details
- Immunohistochemical staining of human testis cells with WDR92 polyclonal antibody (Cat # PAB19294) at 10 ug/mL.
- Validation comment
- Immunohistochemistry