Antibody data
- Antibody Data
- Antigen structure
- References [0]
- Comments [0]
- Validations
- Immunocytochemistry [3]
- Immunohistochemistry [4]
Submit
Validation data
Reference
Comment
Report error
- Product number
- PA5-58578 - Provider product page

- Provider
- Invitrogen Antibodies
- Product name
- C12orf73 Polyclonal Antibody
- Antibody type
- Polyclonal
- Antigen
- Recombinant protein fragment
- Description
- Immunogen sequence: AEVVHRYYRP DLTIPEIPPK RGELKTELLG LKERKHKPQV SQQEEL Highest antigen sequence identity to the following orthologs: Mouse - 80%, Rat - 74%.
- Reactivity
- Human
- Host
- Rabbit
- Isotype
- IgG
- Vial size
- 100 μL
- Concentration
- 0.1 mg/mL
- Storage
- Store at 4°C short term. For long term storage, store at -20°C, avoiding freeze/thaw cycles.
No comments: Submit comment
Supportive validation
- Submitted by
- Invitrogen Antibodies (provider)
- Main image

- Experimental details
- Immunofluorescent staining of C12orf73 in human cell line U-2 OS shows positivity in mitochondria & centrosome. Samples were probed using a C12orf73 Polyclonal Antibody (Product # PA5-58578).
- Submitted by
- Invitrogen Antibodies (provider)
- Main image

- Experimental details
- Immunofluorescent staining of C12orf73 in human cell line U-2 OS shows positivity in mitochondria & centrosome. Samples were probed using a C12orf73 Polyclonal Antibody (Product # PA5-58578).
- Submitted by
- Invitrogen Antibodies (provider)
- Main image

- Experimental details
- Immunofluorecent analysis of C12orf73 in human cell line U-2 OS using C12orf73 Polyclonal Antibody (Product # PA5-58578). Staining shows localization to mitochondria and centrosome.
Supportive validation
- Submitted by
- Invitrogen Antibodies (provider)
- Main image

- Experimental details
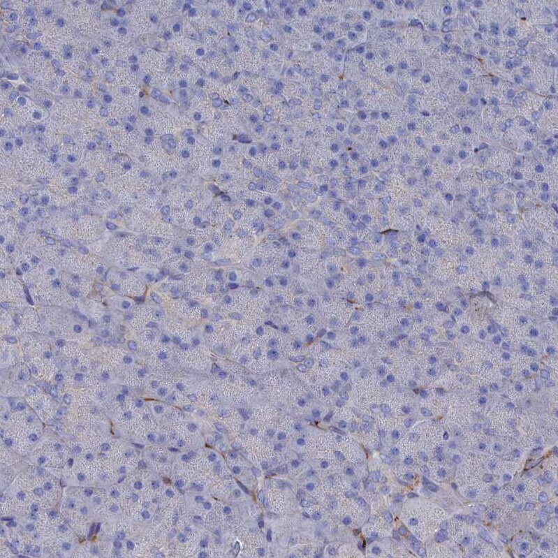
- Immunohistochemical staining of C12orf73 in human pancreas using C12orf73 Polyclonal Antibody (Product # PA5-58578) shows no positivity in exocrine glandular cells as expected.
- Submitted by
- Invitrogen Antibodies (provider)
- Main image

- Experimental details
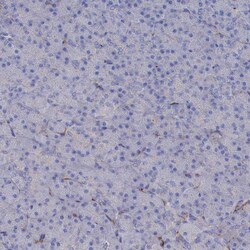
- Immunohistochemical staining of C12orf73 in human cerebral cortex using C12orf73 Polyclonal Antibody (Product # PA5-58578) shows strong positivity in neuropil.
- Submitted by
- Invitrogen Antibodies (provider)
- Main image

- Experimental details
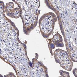
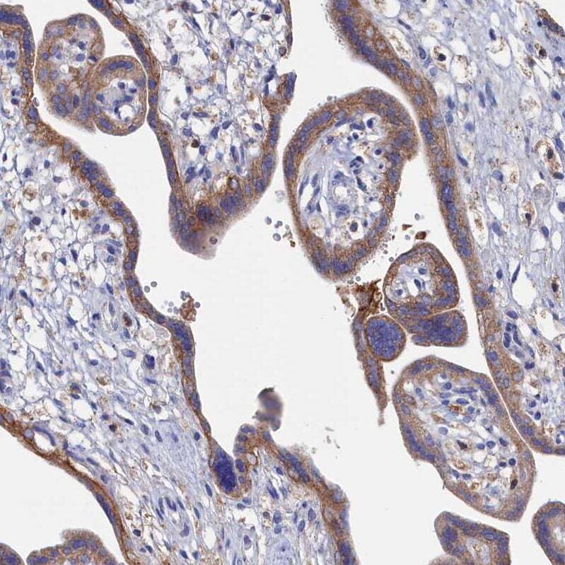
- Immunohistochemical staining of C12orf73 in human placenta using C12orf73 Polyclonal Antibody (Product # PA5-58578) shows moderate cytoplasmic positivity in trophoblastic cells.
- Submitted by
- Invitrogen Antibodies (provider)
- Main image

- Experimental details
- Immunohistochemical staining of C12orf73 in human gastrointestinal using C12orf73 Polyclonal Antibody (Product # PA5-58578) shows moderate to strong cytoplasmic positivity in glandular cells.