Antibody data
- Antibody Data
- Antigen structure
- References [1]
- Comments [0]
- Validations
- Immunohistochemistry [4]
Submit
Validation data
Reference
Comment
Report error
- Product number
- NBP1-90536 - Provider product page

- Provider
- Novus Biologicals
- Proper citation
- Novus Cat#NBP1-90536, RRID:AB_11005682
- Product name
- Rabbit Polyclonal C12orf73 Antibody
- Antibody type
- Polyclonal
- Description
- Immunogen affinity purified. Specificity of human C12orf73 antibody verified on a Protein Array containing target protein plus 383 other non-specific proteins.
- Reactivity
- Human, Zebrafish
- Host
- Rabbit
- Isotype
- IgG
- Vial size
- 0.1 ml
- Storage
- Store at 4C short term. Aliquot and store at -20C long term. Avoid freeze-thaw cycles.
Submitted references Mitochondrial peptide BRAWNIN is essential for vertebrate respiratory complex III assembly.
Zhang S, Reljić B, Liang C, Kerouanton B, Francisco JC, Peh JH, Mary C, Jagannathan NS, Olexiouk V, Tang C, Fidelito G, Nama S, Cheng RK, Wee CL, Wang LC, Duek Roggli P, Sampath P, Lane L, Petretto E, Sobota RM, Jesuthasan S, Tucker-Kellogg L, Reversade B, Menschaert G, Sun L, Stroud DA, Ho L
Nature communications 2020 Mar 11;11(1):1312
Nature communications 2020 Mar 11;11(1):1312
No comments: Submit comment
Supportive validation
- Submitted by
- Novus Biologicals (provider)
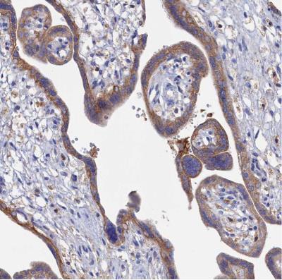
- Main image

- Experimental details
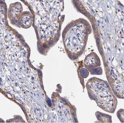
- Immunohistochemistry-Paraffin: C12orf73 Antibody [NBP1-90536] - Staining of human placenta shows moderate cytoplasmic positivity in trophoblastic cells.
- Submitted by
- Novus Biologicals (provider)
- Main image

- Experimental details
- Immunohistochemistry-Paraffin: C12orf73 Antibody [NBP1-90536] - Staining of human cerebral cortex shows strong positivity in neuropil.
- Submitted by
- Novus Biologicals (provider)
- Main image

- Experimental details
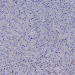
- Immunohistochemistry-Paraffin: C12orf73 Antibody [NBP1-90536] - Staining of human pancreas shows no positivity in exocrine glandular cells as expected.
- Submitted by
- Novus Biologicals (provider)
- Main image

- Experimental details
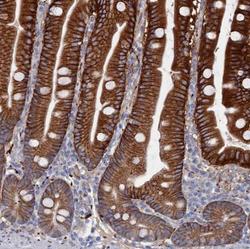
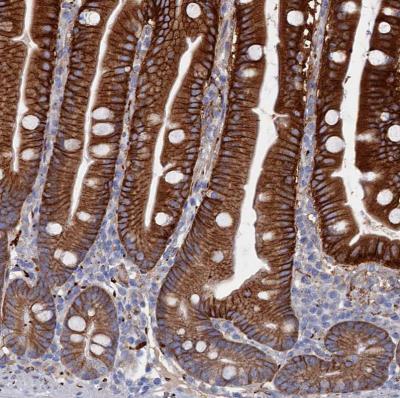
- Immunohistochemistry-Paraffin: C12orf73 Antibody [NBP1-90536] - Staining of human gastrointestinal shows moderate to strong cytoplasmic positivity in glandular cells.