Antibody data
- Antibody Data
- Antigen structure
- References [0]
- Comments [0]
- Validations
- Western blot [1]
- Immunocytochemistry [1]
- Immunohistochemistry [1]
Submit
Validation data
Reference
Comment
Report error
- Product number
- PAB27892 - Provider product page

- Provider
- Abnova Corporation
- Product name
- FAM217B polyclonal antibody
- Antibody type
- Polyclonal
- Description
- Rabbit polyclonal antibody raised against recombinant FAM217B.
- Antigen sequence
SSKSTKLQRWDLSGSGSSSKVETSGHIRVPKQAAV
ILDSADSCKASKTQAHAHPRKKGKAESCGHATVSS
EKKLKTNGVKQ- Isotype
- IgG
- Storage
- Store at 4°C. For long term storage store at -20°C.Aliquot to avoid repeated freezing and thawing.
No comments: Submit comment
Supportive validation
- Submitted by
- Abnova Corporation (provider)
- Main image

- Experimental details
- Western blot analysis of Lane 1: RT-4, Lane 2: U-251 MG, Lane 3: Human Plasma, Lane 4: Liver, Lane 5: Tonsil with FAM217B polyclonal antibody (Cat # PAB27892) at 1:100-1:250 dilution.
Supportive validation
- Submitted by
- Abnova Corporation (provider)
- Main image

- Experimental details
- Immunofluorescent staining of human cell line U-2 OS with FAM217B polyclonal antibody (Cat # PAB27892) at 1-4 ug/mL dilution shows positivity in nucleus but not nucleoli.
- Validation comment
- Immunofluorescence
Supportive validation
- Submitted by
- Abnova Corporation (provider)
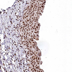
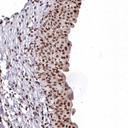
- Main image

- Experimental details
- Immunohistochemical staining of human urinary bladder with FAM217B polyclonal antibody (Cat # PAB27892) shows strong nucleaar positivity in urothelial cells at 1:50-1:200 dilution.
- Validation comment
- Immunohistochemistry (Formalin/PFA-fixed paraffin-embedded sections)