Antibody data
- Antibody Data
- Antigen structure
- References [0]
- Comments [0]
- Validations
- Immunocytochemistry [2]
- Immunohistochemistry [1]
Submit
Validation data
Reference
Comment
Report error
- Product number
- PA5-59397 - Provider product page

- Provider
- Invitrogen Antibodies
- Product name
- C20orf177 Polyclonal Antibody
- Antibody type
- Polyclonal
- Antigen
- Recombinant protein fragment
- Description
- Immunogen sequence: SSKSTKLQRW DLSGSGSSSK VETSGHIRVP KQAAVILDSA DSCKASKTQA HAHPRKKGKA ESCGHATVSS EKKLKTNGVK Q Highest antigen sequence identity to the following orthologs: Mouse - 53%, Rat - 43%.
- Reactivity
- Human
- Host
- Rabbit
- Isotype
- IgG
- Vial size
- 100 μL
- Concentration
- 0.3 mg/mL
- Storage
- Store at 4°C short term. For long term storage, store at -20°C, avoiding freeze/thaw cycles.
No comments: Submit comment
Supportive validation
- Submitted by
- Invitrogen Antibodies (provider)
- Main image

- Experimental details
- Immunofluorescent staining of C20orf177 in human cell line U-2 OS shows positivity in nucleus but excluded from the nucleoli. Samples were probed using a C20orf177 Polyclonal Antibody (Product # PA5-59397).
- Submitted by
- Invitrogen Antibodies (provider)
- Main image

- Experimental details
- Immunofluorecent analysis of C20orf177 in human cell line U-2 OS using C20orf177 Polyclonal Antibody (Product # PA5-59397). Staining shows localization to nucleoplasm.
Supportive validation
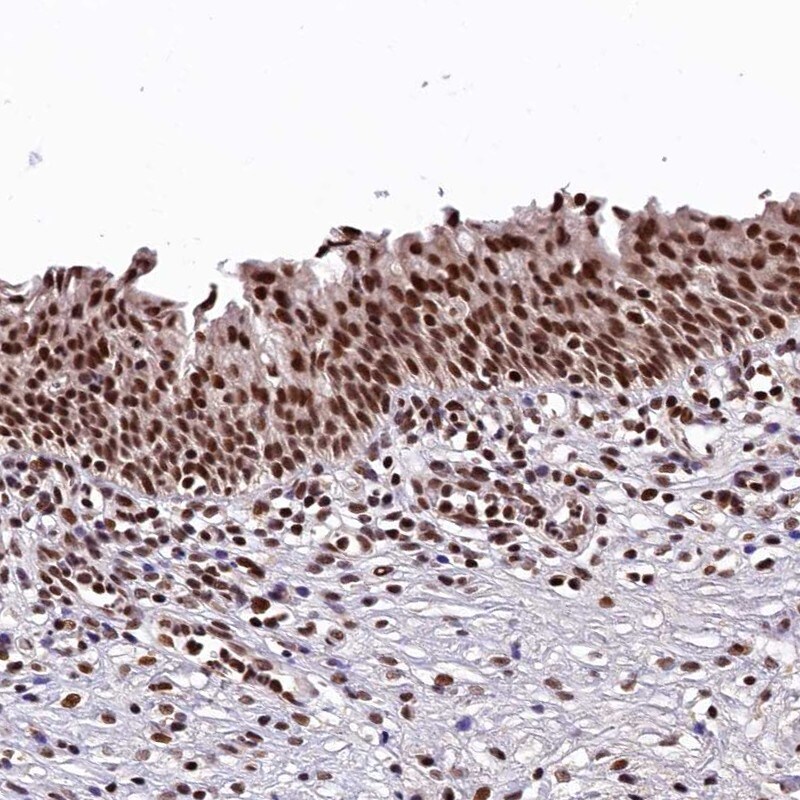
- Submitted by
- Invitrogen Antibodies (provider)
- Main image

- Experimental details
- Immunohistochemical staining of C20orf177 in human urinary bladder using a C20orf177 Polyclonal Antibody (Product # PA5-59397) shows strong nuclear positivity in urothelial cells.