Antibody data
- Antibody Data
- Antigen structure
- References [0]
- Comments [0]
- Validations
- Western blot [2]
- Immunocytochemistry [1]
- Flow cytometry [1]
Submit
Validation data
Reference
Comment
Report error
- Product number
- GTX83518 - Provider product page

- Provider
- GeneTex
- Proper citation
- GeneTex Cat#GTX83518, RRID:AB_10730118
- Product name
- TCP11L2 antibody [2A10]
- Antibody type
- Monoclonal
- Reactivity
- Human, Rat, Canine, Simian
- Host
- Mouse
No comments: Submit comment
Supportive validation
- Submitted by
- GeneTex (provider)
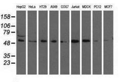
- Main image

- Experimental details
- Western blot analysis of extracts (35ug) from 9 different cell lines by using anti-TCP11L2 monoclonal antibody.
- Validation comment
- WB
- Submitted by
- GeneTex (provider)
- Main image

- Experimental details
- HEK293T cells were transfected with the pCMV6-ENTRY control (Left lane) or pCMV6-ENTRY TCP11L2 (Right lane) cDNA for 48 hrs and lysed. Equivalent amounts of cell lysates (5 ug per lane) were separated by SDS-PAGE and immunoblotted with anti-TCP11L2.
- Validation comment
- WB
Supportive validation
- Submitted by
- GeneTex (provider)
- Main image

- Experimental details
- Anti-TCP11L2 mouse monoclonal antibody (GTX83518) immunofluorescent staining of COS7 cells transiently transfected with TCP11L2
Supportive validation
- Submitted by
- GeneTex (provider)
- Main image

- Experimental details
- HEK293T cells transfected with either RC207129 overexpress plasmid(Red) or empty vector control plasmid(Blue) were immunostained by anti-TCP11L2 antibody(GTX83518), and then analyzed by flow cytometry.