Antibody data
- Antibody Data
- Antigen structure
- References [0]
- Comments [0]
- Validations
- Western blot [2]
- Immunohistochemistry [6]
Submit
Validation data
Reference
Comment
Report error
- Product number
- LS-C378776 - Provider product page

- Provider
- LSBio
- Product name
- TCP11L2 Antibody LS-C378776
- Antibody type
- Polyclonal
- Description
- Protein G purified
- Reactivity
- Human
- Host
- Rabbit
- Isotype
- IgG
- Storage
- Short term: -20°C; Long term: -80°C; Avoid freeze-thaw cycles.
No comments: Submit comment
Enhanced validation
- Submitted by
- LSBio (provider)
- Enhanced method
- Genetic validation
- Main image

- Experimental details
- Western blot. All lanes: TCP11L2 antibody at 1 ug/ml+ A549 whole cell lysate Goat polyclonal to rabbit at 1:10000 dilution. Predicted band size: 58 kDa. Observed band size: 58 kDa.
- Submitted by
- LSBio (provider)
- Enhanced method
- Genetic validation
- Main image

- Experimental details
- Western blot All lanes: TCP11L2 antibody at 1µg/ml + A549 whole cell lysate Secondary Goat polyclonal to rabbit IgG at 1/10000 dilution Predicted band size: 59, 30 kDa Observed band size: 59 kDa
Supportive validation
- Submitted by
- LSBio (provider)
- Enhanced method
- Genetic validation
- Main image

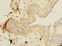
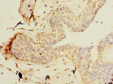
- Experimental details
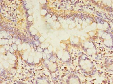
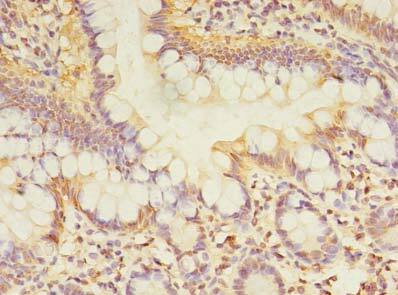
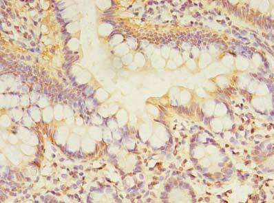
- Immunohistochemistry of paraffin-embedded human small intestine tissue using antibody at dilution of 1:100.
- Submitted by
- LSBio (provider)
- Enhanced method
- Genetic validation
- Main image

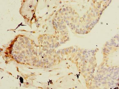
- Experimental details
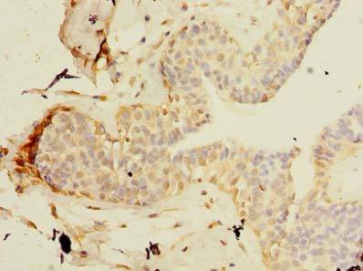
- Immunohistochemistry of paraffin-embedded human breast cancer using antibody at dilution of 1:100.
- Submitted by
- LSBio (provider)
- Enhanced method
- Genetic validation
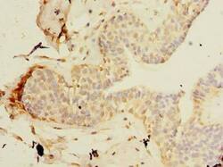
- Main image

- Experimental details
- Immunohistochemistry of paraffin-embedded human small intestine tissue using antibody at dilution of 1:100.
- Submitted by
- LSBio (provider)
- Enhanced method
- Genetic validation
- Main image

- Experimental details
- Immunohistochemistry of paraffin-embedded human breast cancer using antibody at dilution of 1:100.
- Submitted by
- LSBio (provider)
- Enhanced method
- Genetic validation
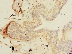
- Main image

- Experimental details
- Immunohistochemistry of paraffin-embedded human small intestine tissue using antibody at dilution of 1:100.
- Submitted by
- LSBio (provider)
- Enhanced method
- Genetic validation
- Main image

- Experimental details
- Immunohistochemistry of paraffin-embedded human breast cancer using antibody at dilution of 1:100.