Antibody data
- Antibody Data
- Antigen structure
- References [0]
- Comments [0]
- Validations
- Western blot [1]
- Immunohistochemistry [1]
- Flow cytometry [1]
Submit
Validation data
Reference
Comment
Report error
- Product number
- TA501803 - Provider product page

- Provider
- OriGene
- Proper citation
- OriGene Cat#TA501803, RRID:AB_11126072
- Product name
- TCP11L2 mouse monoclonal antibody, clone OTI2H4 (formerly 2H4)
- Antibody type
- Monoclonal
- Description
- TCP11L2 mouse monoclonal antibody, clone OTI2H4 (formerly 2H4)
- Host
- Mouse
- Conjugate
- Unconjugated
- Epitope
- TCP11L2
- Isotype
- IgG
- Antibody clone number
- OTI2H4
- Vial size
- 100 µl
- Concentration
- 0.73 mg/ml
No comments: Submit comment
Supportive validation
- Submitted by
- OriGene (provider)
- Main image

- Experimental details
- HEK293T cells were transfected with the pCMV6-ENTRY control (Left lane) or pCMV6-ENTRY TCP11L2 (RC207129, Right lane) cDNA for 48 hrs and lysed. Equivalent amounts of cell lysates (5 ug per lane) were separated by SDS-PAGE and immunoblotted with anti-TCP11L2.
- Validation comment
- WB
Supportive validation
- Submitted by
- OriGene (provider)
- Main image

- Experimental details
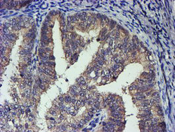
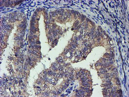
- Immunohistochemical staining of paraffin-embedded Adenocarcinoma of Human endometrium tissue using anti-TCP11L2 mouse monoclonal antibody. (Heat-induced epitope retrieval by 10mM citric buffer, pH6.0, 100C for 10min, TA501803)
- Validation comment
- IHC
Supportive validation
- Submitted by
- OriGene (provider)
- Main image

- Experimental details
- HEK293T cells transfected with either RC207129 overexpress plasmid(Red) or empty vector control plasmid(Blue) were immunostained by anti-TCP11L2 antibody(TA501803), and then analyzed by flow cytometry.
- Validation comment
- FC