Antibody data
- Antibody Data
- Antigen structure
- References [0]
- Comments [0]
- Validations
- Western blot [3]
- Immunocytochemistry [1]
- Flow cytometry [1]
Submit
Validation data
Reference
Comment
Report error
- Product number
- CF501802 - Provider product page

- Provider
- Invitrogen Antibodies
- Product name
- TCP11L2 Monoclonal Antibody (OTI2A10), TrueMAB™
- Antibody type
- Monoclonal
- Antigen
- Recombinant full-length protein
- Reactivity
- Human
- Host
- Mouse
- Isotype
- IgG
- Antibody clone number
- OTI2A10
- Vial size
- 100 µg
- Concentration
- 1 mg/mL
- Storage
- -20° C, Avoid Freeze/Thaw Cycles
No comments: Submit comment
Supportive validation
- Submitted by
- Invitrogen Antibodies (provider)
- Main image

- Experimental details
- HEK293T cells were transfected with the pCMV6-ENTRY control (Left lane) or pCMV6-ENTRY TCP11L2 (RC207129, Right lane) cDNA for 48 hrs and lysed. Equivalent amounts of cell lysates (5 µg per lane) were separated by SDS-PAGE and immunoblotted with anti-TCP1. Positive lysates LY407320 (100 µg) and LC407320 (20 µg) can be purchased separately from OriGene.
- Submitted by
- Invitrogen Antibodies (provider)
- Main image

- Experimental details
- HEK293T cells were transfected with the pCMV6-ENTRY control (Left lane) or pCMV6-ENTRY TCP11L2 (RC207129, Right lane) cDNA for 48 hrs and lysed. Equivalent amounts of cell lysates (5 µg per lane) were separated by SDS-PAGE and immunoblotted with anti-TCP1. Positive lysates LY407320 (100 µg) and LC407320 (20 µg) can be purchased separately from OriGene.
- Submitted by
- Invitrogen Antibodies (provider)
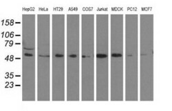
- Main image

- Experimental details
- Western blot analysis of extracts (35 µg) from 9 different cell lines by using anti-TCP11L2 monoclonal antibody.
Supportive validation
- Submitted by
- Invitrogen Antibodies (provider)
- Main image

- Experimental details
- Anti-TCP11L2 mouse monoclonal antibody (TA501802) Immunofluorescent staining of COS7 cells transiently transfected by pCMV6-ENTRY TCP11L2(RC207129).
Supportive validation
- Submitted by
- Invitrogen Antibodies (provider)
- Main image

- Experimental details
- HEK293T cells transfected with either RC207129 overexpress plasmid (Red) or empty vector control plasmid (Blue) were immunostained by anti-TCP11L2 antibody (TA501802), and then analyzed by flow cytometry.