Antibody data
- Antibody Data
- Antigen structure
- References [0]
- Comments [0]
- Validations
- Western blot [2]
- Flow cytometry [1]
Submit
Validation data
Reference
Comment
Report error
- Product number
- NBP2-03100 - Provider product page

- Provider
- Novus Biologicals
- Product name
- Mouse Monoclonal TCP11L2 Antibody
- Antibody type
- Monoclonal
- Description
- Affinity purified.
- Reactivity
- Human
- Host
- Mouse
- Isotype
- IgG
- Vial size
- 0.1 ml
- Concentration
- 0.77 mg/ml
- Storage
- Store at -20C. Avoid freeze-thaw cycles.
No comments: Submit comment
Supportive validation
- Submitted by
- Novus Biologicals (provider)
- Main image

- Experimental details
- Western Blot: TCP11L2 Antibody (2A10) [NBP2-03100] - HEK293T cells were transfected with the pCMV6-ENTRY control (Left lane) or pCMV6-ENTRY TCP11L2 (Right lane) cDNA for 48 hrs and lysed. Equivalent amounts of cell lysates (5 ug per lane) were separated by SDS-PAGE and immunoblotted with anti-TCP11L2.
- Submitted by
- Novus Biologicals (provider)
- Main image

- Experimental details
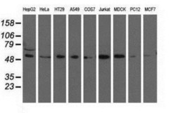
- Western Blot: TCP11L2 Antibody (2A10) [NBP2-03100] Analysis of extracts (35ug) from 9 different cell lines by using anti-TCP11L2 monoclonal antibody.
Supportive validation
- Submitted by
- Novus Biologicals (provider)
- Main image

- Experimental details
- Flow Cytometry: TCP11L2 Antibody (2A10) [NBP2-03100] - HEK293T cells transfected with either overexpression plasmid (Red) or empty vector control plasmid (Blue) were immunostained by anti-TCP11L2 antibody, and then analyzed by flow cytometry.