Antibody data
- Antibody Data
- Antigen structure
- References [0]
- Comments [0]
- Validations
- Western blot [1]
- Immunohistochemistry [1]
Submit
Validation data
Reference
Comment
Report error
- Product number
- AP52627PU-N - Provider product page

- Provider
- Acris Antibodies GmbH
- Proper citation
- Acris Antibodies GmbH Cat#AP52627PU-N, RRID:AB_11151362
- Product name
- anti MBTPS2 (N-term)
- Antibody type
- Polyclonal
- Antigen
- KLH conjugated synthetic peptide between 14-44 amino acids from the N-terminal region of human MBTPS2
- Reactivity
- Human
- Host
- Rabbit
- Vial size
- 0.4 ml
- Concentration
- 0.5 mg/mL
No comments: Submit comment
Supportive validation
- Submitted by
- Acris Antibodies GmbH (provider)
- Main image

- Experimental details
- Western blot analysis of MBTPS2 Antibody (N-term) Cat.-No AP52627PU-N in NCI-H292 cell line lysates (35ug/lane). This demonstrates the MBTPS2 antibody detected the MBTPS2 protein (arrow).
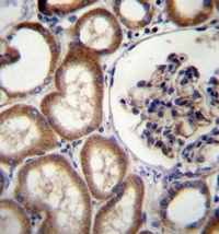
Supportive validation
- Submitted by
- Acris Antibodies GmbH (provider)
- Main image

- Experimental details
- Immunohistochemistry analysis in formalin fixed and paraffin embedded human kidney tissue reacted with MBTPS2 Antibody (N-term) Cat.-No AP52627PU-N, which peroxidase conjugated to the secondary antibody and was followed by AB staining.