Antibody data
- Antibody Data
- Antigen structure
- References [1]
- Comments [0]
- Validations
- Western blot [1]
- Immunohistochemistry [1]
Submit
Validation data
Reference
Comment
Report error
- Product number
- bs-1808R - Provider product page

- Provider
- Bioss
- Proper citation
- Bioss Cat#bs-1808R, RRID:AB_10856942
- Product name
- Hpt/Haptoglobin Polyclonal Antibody
- Antibody type
- Polyclonal
- Description
- KLH conjugated synthetic peptide derived from human Hpt
- Reactivity
- Human, Mouse, Rat
- Host
- Rabbit
- Conjugate
- Unconjugated
- Isotype
- IgG
- Vial size
- 100ul
- Concentration
- 1ug/ul
- Storage
- Aqueous buffered solution containing 1% BSA, 50% glycerol and 0.09% sodium azide. Store at -20°C for 12 months.
Submitted references Construction of Conveniently Screening pLKO.1-TRC Vector Tagged with TurboGFP.
Xu J, Zhu W, Guo Y, Jiang C, Hussain N, Meng L, Lu S
Applied biochemistry and biotechnology 2017 Feb;181(2):699-709
Applied biochemistry and biotechnology 2017 Feb;181(2):699-709
No comments: Submit comment
Supportive validation
- Submitted by
- Bioss (provider)
- Main image

- Experimental details
- L1 rat lung lysates L2 rat liver lysates probed with Anti Hpt/Haptoglobin Polyclonal Antibody, Unconjugated (bs-1808R) at 1:200 in 4°C. Followed by conjugation to secondary antibody (bs-0295G-HRP) at 1:3000 90min in 37°C. Predicted band 44kD. Observed band size: 38kD,44kD
- Sample type
- Rat
- Other comments
- Liver
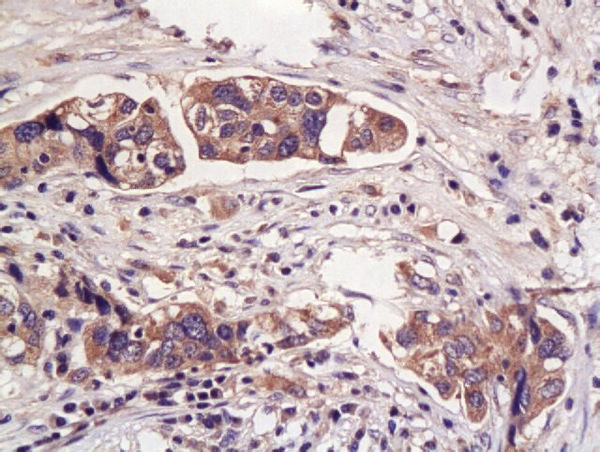
Supportive validation
- Submitted by
- Bioss (provider)
- Main image

- Experimental details
- Formalin-fixed and paraffin embedded human endometrial carcinoma labeled with Anti- Hpt/Haptoglobin Polyclonal Antibody, Unconjugated (bs-1808R) at 1:200 followed by conjugation to the secondary antibody and DAB staining
- Sample type
- Human
- Other comments
- Uterus