Antibody data
- Antibody Data
- Antigen structure
- References [0]
- Comments [0]
- Validations
- Western blot [2]
- Immunohistochemistry [1]
Submit
Validation data
Reference
Comment
Report error
- Product number
- OAAB00697 - Provider product page

- Provider
- Aviva Systems Biology
- Product name
- HP antibody - center region
- Antibody type
- Polyclonal
- Reactivity
- Human
- Host
- Rabbit
- Vial size
- 400ul
- Storage
- Maintain refrigerated at 2-8 deg C for up to 6 months. For long term storage store at -20 deg C in small aliquots to prevent freeze-thaw cycles.
No comments: Submit comment
Supportive validation
- Submitted by
- Aviva Systems Biology (provider)
- Main image

- Experimental details
- HP Antibody (Center) western blot analysis in MDA-MB435 cell lysates (35ug/lane).This demonstrates the HP antibody detected the HP protein (arrow).
- Sample type
- MDA-MB435 cell line lysates
- Primary Ab dilution
- 1.0 µg/mL
- Protocol
- Protocol
- Submitted by
- Aviva Systems Biology (provider)
- Main image

- Experimental details
- Western blot analysis of HP (arrow) using rabbit polyclonal HP Antibody (Center) either nontransfected (Lane 1) or lysates transiently transfected transfected (Lane 2) with the HP gene.
- Sample type
- lysatestransiently transfected with the HP gene.
- Primary Ab dilution
- 1.0 µg/mL
- Protocol
- Protocol
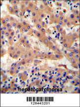
Supportive validation
- Submitted by
- Aviva Systems Biology (provider)
- Main image

- Experimental details
- HP antibody (Center) immunohistochemistry analysis in formalin fixed and paraffin embedded human hepatocarcinoma followed by peroxidase conjugation of the secondary antibody and DAB staining. This data demonstrates the use of the HP antibody (Center) for immunohistochemistry. Clinical relevance has not been evaluated.
- Sample type
- human hepatocarcinoma
- Primary Ab dilution
- 1.0 µg/mL
- Protocol
- Protocol