Antibody data
- Antibody Data
- Antigen structure
- References [0]
- Comments [0]
- Validations
- Western blot [2]
- Immunocytochemistry [1]
- Immunohistochemistry [12]
- Other assay [1]
Submit
Validation data
Reference
Comment
Report error
- Product number
- UM500010 - Provider product page

- Provider
- Invitrogen Antibodies
- Product name
- HP Monoclonal Antibody (UMAB10), UltraMAB™
- Antibody type
- Monoclonal
- Antigen
- Recombinant full-length protein
- Reactivity
- Human
- Host
- Mouse
- Isotype
- IgG
- Antibody clone number
- UMAB10
- Vial size
- 100 µL
- Concentration
- 0.5-1.0 mg/mL
- Storage
- -20° C, Avoid Freeze/Thaw Cycles
No comments: Submit comment
Supportive validation
- Submitted by
- Invitrogen Antibodies (provider)
- Main image

- Experimental details
- Western blot analysis of extracts (35 µg) from 9 different cell lines by using anti-HP monoclonal antibody (Clone UMAB10) at 1:500.
- Submitted by
- Invitrogen Antibodies (provider)
- Main image

- Experimental details
- Western Blot analysis of 10 different human tissue lysates (10 µg) by using anti-HP monoclonal antibody (clone UMAB10, 1:500)
Supportive validation
- Submitted by
- Invitrogen Antibodies (provider)
- Main image

- Experimental details
- Immunofluorescent staining of HepG2 cells using anti-HP mouse monoclonal antibody (UM500010, green). Actin filaments were labeled with TRITC-phalloidin (red), and nuclear with DAPI (blue). The three-color overlay image is located at the bottom-right corner.
Supportive validation
- Submitted by
- Invitrogen Antibodies (provider)
- Main image

- Experimental details
- Immunohistochemical staining of paraffin-embedded breast tissue using anti-HP mouse monoclonal antibody. (Clone UMAB10, dilution 1:100; heat-induced epitope retrieval by 10mM citric buffer, pH6.0, 120°C for 3min)
- Submitted by
- Invitrogen Antibodies (provider)
- Main image

- Experimental details
- Immunohistochemical staining of paraffin-embedded human liver cancer using anti-HP clone UMAB10 mouse monoclonal antibody at 1:200 dilution of mg/mL using Polink2 Broad HRP DAB for detection. UM500010 requires HIER with with citrate pH6.0 at 110°C for 3 min using pressure chamber/cooker. The tumor cells shows membrane and cytoplasmic staining.
- Submitted by
- Invitrogen Antibodies (provider)
- Main image

- Experimental details
- Immunohistochemical staining of paraffin-embedded human gastric cancer seen mainly normal adjacent using anti-HP clone UMAB10 mouse monoclonal antibody at 1:200 with Polink2 Broad HRP DAB detection kit (UM500010); heat-induced epitope retrieval with citrate buffer, pH6.0at 95-100C. Strong cytoplasmic and membraneous staining is seen in gastric glands.
- Submitted by
- Invitrogen Antibodies (provider)
- Main image

- Experimental details
- Immunohistochemical staining of paraffin-embedded human placenta using anti-HP clone UMAB10 mouse monoclonal antibody at 1:200 with Polink2 Broad HRP DAB detection kit (UM500010); heat-induced epitope retrieval with citrate buffer, pH6.0at 95-100C. Strong membraneous staining is seen in placenta and adjacent blood.
- Submitted by
- Invitrogen Antibodies (provider)
- Main image

- Experimental details
- Immunohistochemical staining of paraffin-embedded human ovarian cancer using anti-HP clone UMAB10 mouse monoclonal antibody at 1:200 dilution of mg/mL using Polink2 Broad HRP DAB for detection. UM500010 requires HIER with with citrate pH6.0 at 110°C for 3 min using pressure chamber/cooker. The tumor cells shows membrane and cytoplasmic staining.
- Submitted by
- Invitrogen Antibodies (provider)
- Main image

- Experimental details
- Immunohistochemical staining of paraffin-embedded pancreas tissue using anti-HPmouse monoclonal antibody. (Clone UMAB10, dilution 1:100; heat-induced epitope retrieval by 10mM citric buffer, pH6.0, 120°C for 3min)
- Submitted by
- Invitrogen Antibodies (provider)
- Main image

- Experimental details
- Immunohistochemical staining of paraffin-embedded Carcinoma of pancreas tissue using anti-HPmouse monoclonal antibody. (Clone UMAB10, dilution 1:100; heat-induced epitope retrieval by 10mM citric buffer, pH6.0, 120°C for 3min)
- Submitted by
- Invitrogen Antibodies (provider)
- Main image

- Experimental details
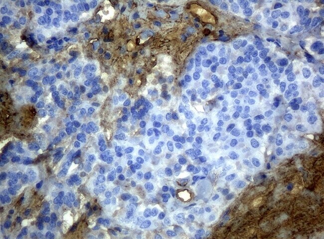
- Immunohistochemical staining of paraffin-embedded prostate tissue using anti-HPmouse monoclonal antibody. (Clone UMAB10, dilution 1:100; heat-induced epitope retrieval by 10mM citric buffer, pH6.0, 120°C for 3min)
- Submitted by
- Invitrogen Antibodies (provider)
- Main image

- Experimental details
- Immunohistochemical staining of paraffin-embedded Adenocarcinoma of breast tissue using anti-HP mouse monoclonal antibody. (Clone UMAB10, dilution 1:100; heat-induced epitope retrieval by 10mM citric buffer, pH6.0, 120°C for 3min)
- Submitted by
- Invitrogen Antibodies (provider)
- Main image

- Experimental details
- Immunohistochemical staining of paraffin-embedded Carcinoma of prostate tissue using anti-HPmouse monoclonal antibody. (Clone UMAB10, dilution 1:100; heat-induced epitope retrieval by 10mM citric buffer, pH6.0, 120°C for 3min)
- Submitted by
- Invitrogen Antibodies (provider)
- Main image

- Experimental details
- Immunohistochemical staining of paraffin-embedded Adenocarcinoma of colon tissue using anti-HPmouse monoclonal antibody. (Clone UMAB10, dilution 1:100; heat-induced epitope retrieval by 10mM citric buffer, pH6.0, 120°C for 3min)
- Submitted by
- Invitrogen Antibodies (provider)
- Main image

- Experimental details
- Immunohistochemical staining of paraffin-embedded lung tissue using anti-HPmouse monoclonal antibody. (Clone UMAB10, dilution 1:100; heat-induced epitope retrieval by 10mM citric buffer, pH6.0, 120°C for 3min)
Supportive validation
- Submitted by
- Invitrogen Antibodies (provider)
- Main image

- Experimental details
- OriGene overexpression protein microarray chip was immunostained with UltraMAB anti-HP mouse monoclonal antibody (Clone UMAB10). The positive reactive proteins are highlighted with two red arrows in the enlarged subarray. All the positive controls spotted in this subarray are also labeled for clarification. These data show that UltraMAB anti-HP (Clone UMAB10) very specifically recognizes HP antigen on OriGene protein microarray chip.