Antibody data
- Antibody Data
- Antigen structure
- References [0]
- Comments [0]
- Validations
- Immunocytochemistry [3]
- Immunohistochemistry [4]
Submit
Validation data
Reference
Comment
Report error
- Product number
- PA5-58575 - Provider product page

- Provider
- Invitrogen Antibodies
- Product name
- GTSF1 Polyclonal Antibody
- Antibody type
- Polyclonal
- Antigen
- Recombinant protein fragment
- Description
- Immunogen sequence: QTRSLRQETL AESTWQCPPC DEDWDKDLWE QTSTPFVWGT THYSDNNSPA SNIVTEHKNN LASGMRVPKS LPYV Highest antigen sequence identity to the following orthologs: Mouse - 86%, Rat - 86%.
- Reactivity
- Human
- Host
- Rabbit
- Isotype
- IgG
- Vial size
- 100 μL
- Concentration
- 0.2 mg/mL
- Storage
- Store at 4°C short term. For long term storage, store at -20°C, avoiding freeze/thaw cycles.
No comments: Submit comment
Supportive validation
- Submitted by
- Invitrogen Antibodies (provider)
- Main image

- Experimental details
- Immunofluorescent staining of GTSF1 in human cell line U-251 MG shows positivity in nucleus but excluded from the nucleoli. Samples were probed using a GTSF1 Polyclonal Antibody (Product # PA5-58575).
- Submitted by
- Invitrogen Antibodies (provider)
- Main image

- Experimental details
- Immunofluorescent staining of GTSF1 in human cell line U-2 OS using a GTSF1 Polyclonal Antibody (Product # PA5-58575) shows localization to nucleoplasm.
- Submitted by
- Invitrogen Antibodies (provider)
- Main image

- Experimental details
- Immunofluorescent staining of GTSF1 in human cell line U-2 OS using a GTSF1 Polyclonal Antibody (Product # PA5-58575) shows localization to nucleoplasm.
Supportive validation
- Submitted by
- Invitrogen Antibodies (provider)
- Main image

- Experimental details
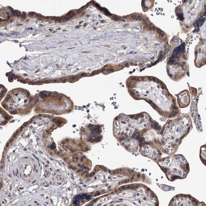
- Immunohistochemical analysis of GTSF1 in human Placenta using GTSF1 Polyclonal Antibody (Product # PA5-58575) shows moderate cytoplasmic positivity in trophoblastic cells.
- Submitted by
- Invitrogen Antibodies (provider)
- Main image

- Experimental details
- Immunohistochemical analysis of GTSF1 in human Testis using GTSF1 Polyclonal Antibody (Product # PA5-58575) shows strong cytoplasmic and nuclear positivity in cells in seminiferous ducts.
- Submitted by
- Invitrogen Antibodies (provider)
- Main image

- Experimental details
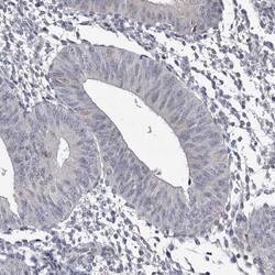
- Immunohistochemical analysis of GTSF1 in human Endometrium using GTSF1 Polyclonal Antibody (Product # PA5-58575) shows no positivity in glandular cells as expected.
- Submitted by
- Invitrogen Antibodies (provider)
- Main image

- Experimental details
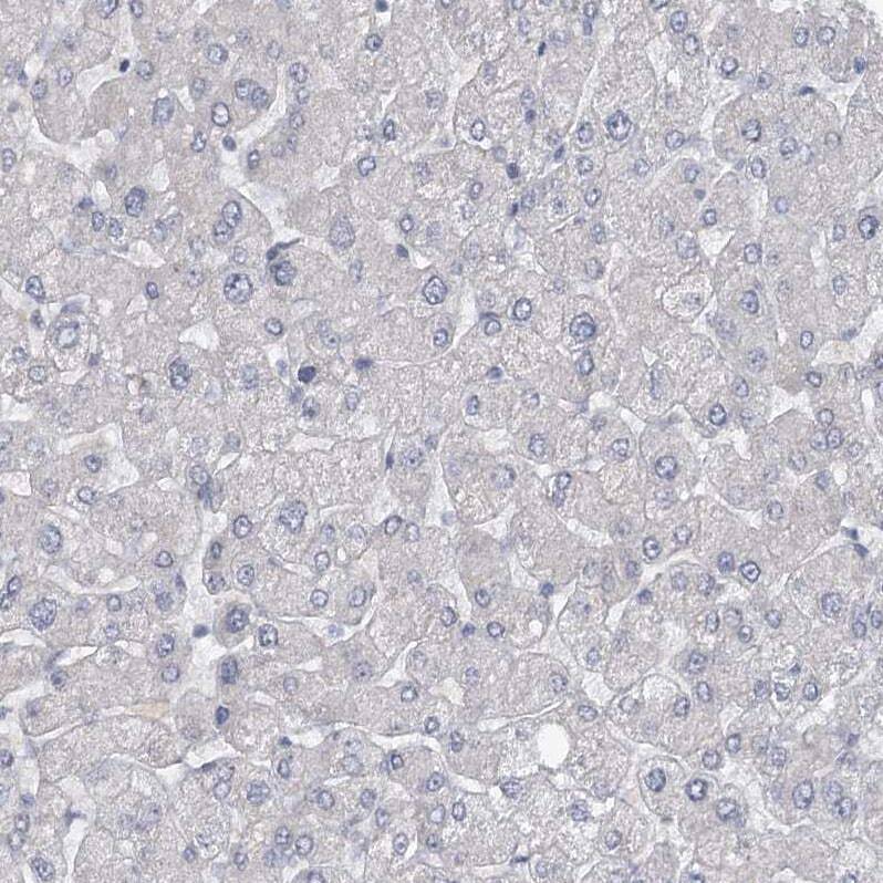
- Immunohistochemical analysis of GTSF1 in human Liver using GTSF1 Polyclonal Antibody (Product # PA5-58575) shows no positivity in hepatocytes as expected.