RQ7069
antibody from NSJ Bioreagents
Targeting: CUX1
CASP, CDP, CDP/Cut, CDP/Cux, CDP1, Clox, CUT, CUTL1, CUX, Cux/CDP, GOLIM6
Antibody data
- Antibody Data
- Antigen structure
- References [0]
- Comments [0]
- Validations
- Western blot [1]
- Immunohistochemistry [4]
- Flow cytometry [1]
Submit
Validation data
Reference
Comment
Report error
- Product number
- RQ7069 - Provider product page

- Provider
- NSJ Bioreagents
- Product name
- Homeobox protein cut-like 1 Antibody / CUX1
- Antibody type
- Polyclonal
- Description
- This highly specific Homeobox protein cut-like 1 antibody is suitable for use in Western blot/Immunohistochemistry/Flow cytometry/Direct ELISA applications with human and mouse samples.
- Reactivity
- Human, Mouse
- Host
- Rabbit
- Conjugate
- Unconjugated
- Vial size
- 100 ug
- Concentration
- 0.5mg/ml if reconstituted with 0.2ml sterile DI water
- Storage
- After reconstitution, the Homeobox protein cut-like 1 antibody can be stored for up to one month at 4oC. For long-term, aliquot and store at -20oC. Avoid repeated freezing and thawing.
No comments: Submit comment
Supportive validation
- Submitted by
- NSJ Bioreagents (provider)
- Main image

- Experimental details
- Western blot testing of 1) human K562, 2) human HeLa, 3) human MCF7, 4) human SH-SY5Y and 5) mouse stomach tissue lysate with Homeobox protein cut-like 1 antibody. Expected molecular weight ~200 kDa with smaller isoforms.
Supportive validation
- Submitted by
- NSJ Bioreagents (provider)
- Main image

- Experimental details
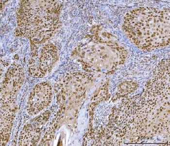
- IHC staining of FFPE human laryngeal squamous cell carcinoma tissue with Homeobox protein cut-like 1 antibody. HIER: boil tissue sections in pH8 EDTA for 20 min and allow to cool before testing.
- Submitted by
- NSJ Bioreagents (provider)
- Main image

- Experimental details
- IHC staining of FFPE human placental tissue with Homeobox protein cut-like 1 antibody. HIER: boil tissue sections in pH8 EDTA for 20 min and allow to cool before testing.
- Submitted by
- NSJ Bioreagents (provider)
- Main image

- Experimental details
- IHC staining of FFPE human thyroiditis tissue with Homeobox protein cut-like 1 antibody. HIER: boil tissue sections in pH8 EDTA for 20 min and allow to cool before testing.
- Submitted by
- NSJ Bioreagents (provider)
- Main image

- Experimental details
- IHC staining of FFPE mouse colon tissue with Homeobox protein cut-like 1 antibody. HIER: boil tissue sections in pH8 EDTA for 20 min and allow to cool before testing.
Supportive validation
- Submitted by
- NSJ Bioreagents (provider)
- Main image

- Experimental details
- Flow cytometry testing of human HepG2 cells with Homeobox protein cut-like 1 antibody at 1ug/million cells (blocked with goat sera); Red=cells alone, Green=isotype control, Blue= Homeobox protein cut-like 1 antibody.