AM20876PU-N
antibody from Acris Antibodies GmbH
Targeting: CUX1
CASP, CDP, CDP/Cut, CDP/Cux, CDP1, Clox, CUT, CUTL1, CUX, Cux/CDP, GOLIM6
Antibody data
- Antibody Data
- Antigen structure
- References [0]
- Comments [0]
- Validations
- Western blot [1]
- ELISA [1]
- Immunocytochemistry [1]
- Immunohistochemistry [2]
Submit
Validation data
Reference
Comment
Report error
- Product number
- AM20876PU-N - Provider product page

- Provider
- Acris Antibodies GmbH
- Proper citation
- Acris Antibodies GmbH Cat#AM20876PU-N, RRID:AB_10846758
- Product name
- anti Protein CASP
- Antibody type
- Monoclonal
- Antigen
- Recombinant protein, CUTL1 (AAH25422, 521 a.a. ~ 621 a.a) partial recombinant protein with GST tag. MW of the GST tag alone is 26 KDa.
- Reactivity
- Human
- Host
- Mouse
- Isotype
- IgG
- Antibody clone number
- 2A10
- Vial size
- 50 µg
No comments: Submit comment
Supportive validation
- Submitted by
- Acris Antibodies GmbH (provider)
- Main image

- Experimental details
- Western Blot analysis of CUX1 expression in transfected 293T cell line by CUTL1 monoclonal antibody, clone 2A10. Lane 1: Transfected cell lysate Lane 2: Non-transfected lysate
Supportive validation
- Submitted by
- Acris Antibodies GmbH (provider)
- Main image

- Experimental details
- Detection limit for recombinant GST tagged CUTL1 is approximately 0.03 ng/ml as a capture antibody.
Supportive validation
- Submitted by
- Acris Antibodies GmbH (provider)
- Main image

- Experimental details
- Immunofluorescence of monoclonal antibody to CUTL1 on HeLa cell (antibody concentration 10 µg/ml).
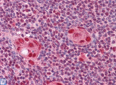
Supportive validation
- Submitted by
- Acris Antibodies GmbH (provider)
- Main image

- Experimental details
- Human Spleen: Formalin-Fixed, Paraffin-Embedded (FFPE)
- Submitted by
- Acris Antibodies GmbH (provider)
- Main image

- Experimental details
- Human Thymus: Formalin-Fixed, Paraffin-Embedded (FFPE)