Antibody data
- Antibody Data
- Antigen structure
- References [0]
- Comments [0]
- Validations
- Immunohistochemistry [5]
Submit
Validation data
Reference
Comment
Report error
- Product number
- PA5-58653 - Provider product page

- Provider
- Invitrogen Antibodies
- Product name
- MUCL1 Polyclonal Antibody
- Antibody type
- Polyclonal
- Antigen
- Recombinant protein fragment
- Description
- Immunogen sequence: AQNPTTAAPA DTYPATGPAD DEAPDAETTA AATTA Highest antigen sequence identity to the following orthologs: Mouse - 47%, Rat - 42%.
- Reactivity
- Human
- Host
- Rabbit
- Isotype
- IgG
- Vial size
- 100 μL
- Concentration
- 0.3 mg/mL
- Storage
- Store at 4°C short term. For long term storage, store at -20°C, avoiding freeze/thaw cycles.
No comments: Submit comment
Supportive validation
- Submitted by
- Invitrogen Antibodies (provider)
- Main image

- Experimental details
- Immunohistochemical analysis of MUCL1 in human tonsil using MUCL1 Polyclonal Antibody (Product # PA5-58653) shows no positivity in non-germinal center cells as expected.
- Submitted by
- Invitrogen Antibodies (provider)
- Main image

- Experimental details
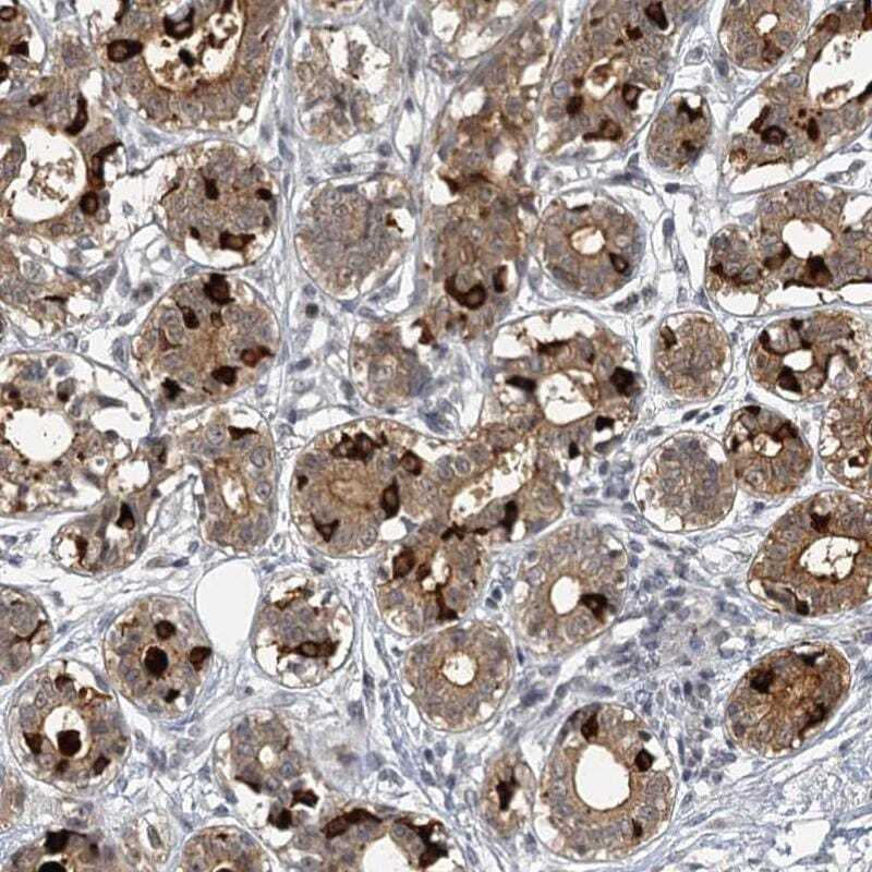
- Immunohistochemical staining of MUCL1 in human breast using a MUCL1 Polyclonal Antibody (Product # PA5-58653) shows moderateto strong cytoplasmic positivity in glandular cells.
- Submitted by
- Invitrogen Antibodies (provider)
- Main image

- Experimental details
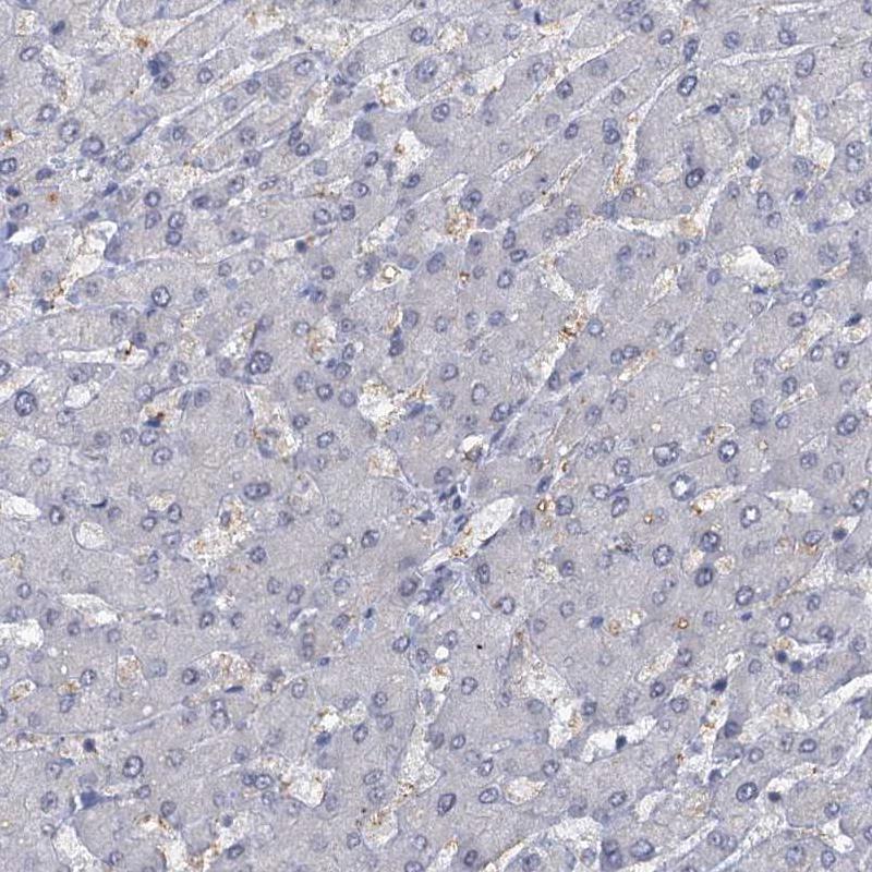
- Immunohistochemical staining of MUCL1 in human liver using a MUCL1 Polyclonal Antibody (Product # PA5-58653) shows no positivity in hepatocytes as expected.
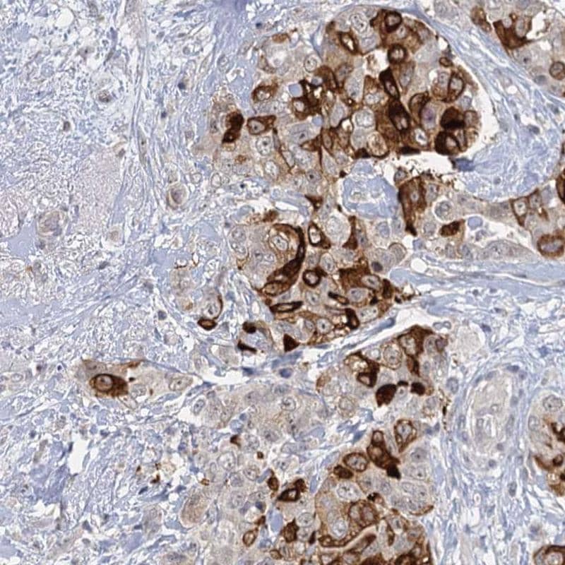
- Submitted by
- Invitrogen Antibodies (provider)
- Main image

- Experimental details
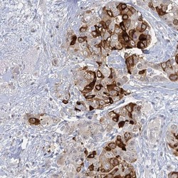
- Immunohistochemical staining of MUCL1 in human breast cancer using a MUCL1 Polyclonal Antibody (Product # PA5-58653) shows moderate to strong cytoplasmic positivity in tumor cells.
- Submitted by
- Invitrogen Antibodies (provider)
- Main image

- Experimental details
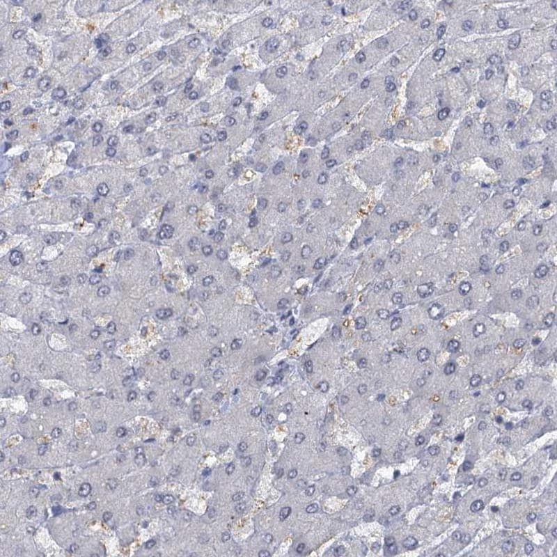
- Immunohistochemical staining of MUCL1 in human liver using MUCL1 Polyclonal Antibody (Product # PA5-58653) shows no positivity in hepatocytes as expected.