Antibody data
- Antibody Data
- Antigen structure
- References [0]
- Comments [0]
- Validations
- Western blot [1]
- Immunohistochemistry [10]
Submit
Validation data
Reference
Comment
Report error
- Product number
- ARG53050 - Provider product page

- Provider
- Arigo
- Product name
- anti-FOXP3 antibody [SP97]
- Antibody type
- Monoclonal
- Antigen
- Synthetic peptide corresponding to C-terminus of human FOXP3 protein.
- Description
- Purified by protein A/G
- Reactivity
- Human
- Host
- Rabbit
- Isotype
- IgG
- Antibody clone number
- SP97
- Vial size
- 100 µl
- Storage
- Aliquot and store at 2-8°C. Do not freeze. The antibody solution should be gently mixed before use.
- Handling
- The antibody solution should be gently mixed before use.
No comments: Submit comment
Supportive validation
- Submitted by
- Arigo (provider)
- Main image

- Experimental details
- Western Blot: Tonsil stained with FOXP3 antibody [SP97] (ARG53050)
Supportive validation
- Submitted by
- Arigo (provider)
- Main image

- Experimental details
- Immunohistochemistry: Human B Cell Lymphoma stained with FOXP3 antibody [SP97] (ARG53050)
- Submitted by
- Arigo (provider)
- Main image

- Experimental details
- Immunohistochemistry: Human Bladder Transitional Cell Carcinoma stained with FOXP3 antibody [SP97] (ARG53050)
- Submitted by
- Arigo (provider)
- Main image

- Experimental details
- Immunohistochemistry: Human Bladder stained with FOXP3 antibody [SP97] (ARG53050)
- Submitted by
- Arigo (provider)
- Main image

- Experimental details
- Immunohistochemistry: Human Cervical Squamous Cell Carcinoma stained with FOXP3 antibody [SP97] (ARG53050)
- Submitted by
- Arigo (provider)
- Main image

- Experimental details
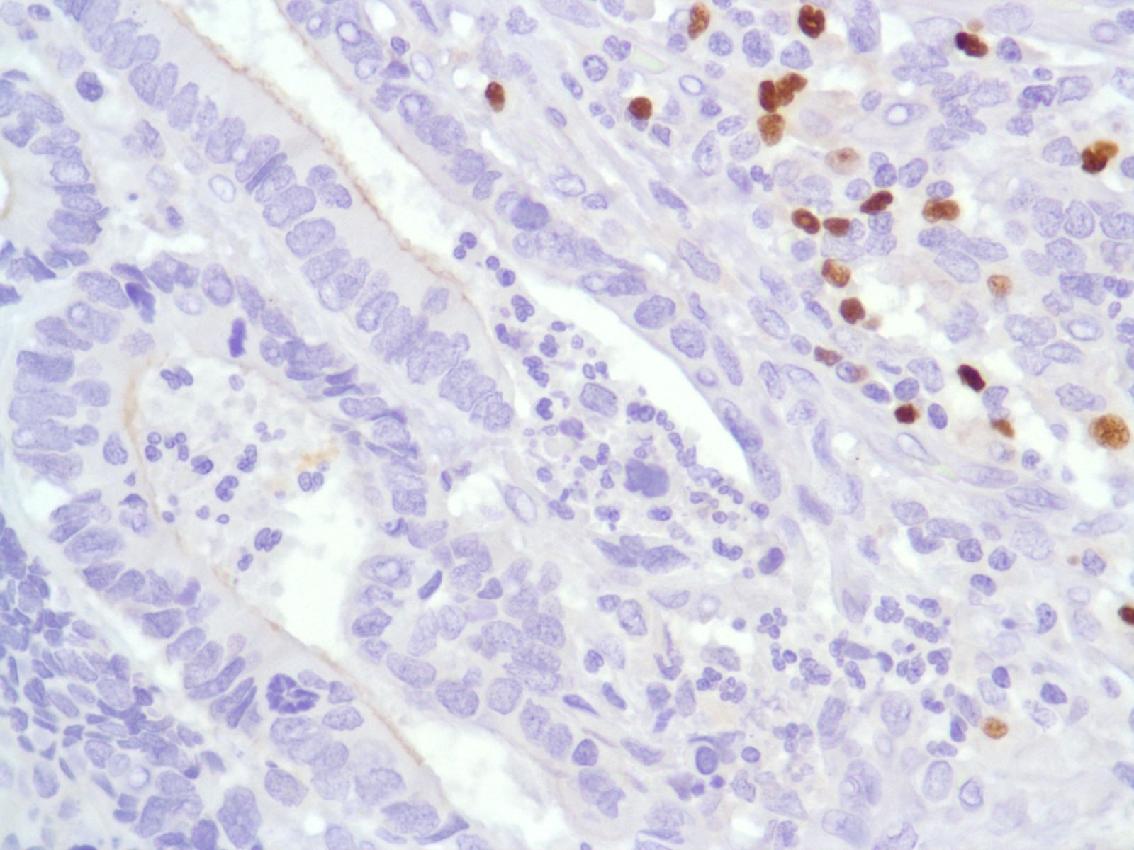
- Immunohistochemistry: Human Colon Adenocarcinoma stained with FOXP3 antibody [SP97] (ARG53050)
- Submitted by
- Arigo (provider)
- Main image

- Experimental details
- Immunohistochemistry: Human Colon stained with FOXP3 antibody [SP97] (ARG53050)
- Submitted by
- Arigo (provider)
- Main image

- Experimental details
- Immunohistochemistry: Human Lymph Node stained with FOXP3 antibody [SP97] (ARG53050)
- Submitted by
- Arigo (provider)
- Main image

- Experimental details
- Immunohistochemistry: Human Pancreatic Adenocarcinoma stained with FOXP3 antibody [SP97] (ARG53050)
- Submitted by
- Arigo (provider)
- Main image

- Experimental details
- Immunohistochemistry: Human Stomach Adenocarcinoma stained with FOXP3 antibody [SP97] (ARG53050)
- Submitted by
- Arigo (provider)
- Main image

- Experimental details
- Immunohistochemistry: Human Thymus stained with FOXP3 antibody [SP97] (ARG53050)