Antibody data
- Antibody Data
- Antigen structure
- References [0]
- Comments [0]
- Validations
- Immunocytochemistry [1]
- Immunohistochemistry [4]
Submit
Validation data
Reference
Comment
Report error
- Product number
- PA5-60585 - Provider product page

- Provider
- Invitrogen Antibodies
- Product name
- ANKRD50 Polyclonal Antibody
- Antibody type
- Polyclonal
- Antigen
- Recombinant protein fragment
- Description
- Immunogen sequence: CKIMIPSAQQ EIGRSQQQFL IHQQSGEQKK RNGIMTNPNY HLQSNQVFLG RVSVPRTMQD RGHQEVLEGY PSSETELSLK QALKLQIEGS DPSFN Highest antigen sequence identity to the following orthologs: Mouse - 83%, Rat - 84%.
- Reactivity
- Human
- Host
- Rabbit
- Isotype
- IgG
- Vial size
- 100 μL
- Concentration
- 0.3 mg/mL
- Storage
- Store at 4°C short term. For long term storage, store at -20°C, avoiding freeze/thaw cycles.
No comments: Submit comment
Supportive validation
- Submitted by
- Invitrogen Antibodies (provider)
- Main image

- Experimental details
- Immunofluorecent analysis of ANKRD50 in human cell line U-2 OS using ANKRD50 Polyclonal Antibody (Product # PA5-60585). Staining shows localization to nucleoplasm and cytosol.
Supportive validation
- Submitted by
- Invitrogen Antibodies (provider)
- Main image

- Experimental details
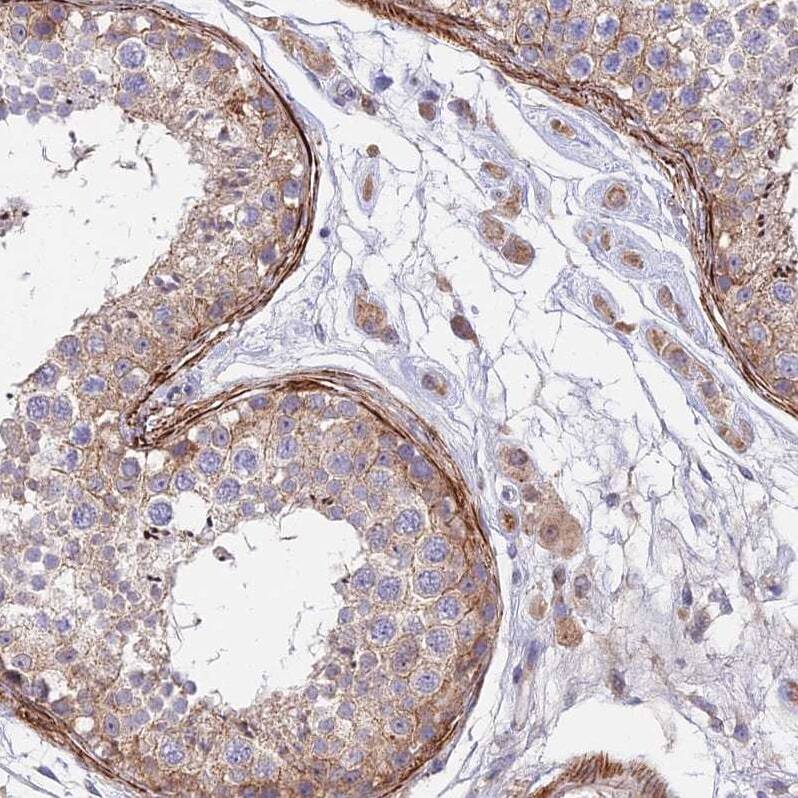
- Immunohistochemical analysis of ANKRD50 in human testis using ANKRD50 Polyclonal Antibody (Product # PA5-60585) shows strong cytoplasmic positivity in peritubular myoid cells and leydig cells.
- Submitted by
- Invitrogen Antibodies (provider)
- Main image

- Experimental details
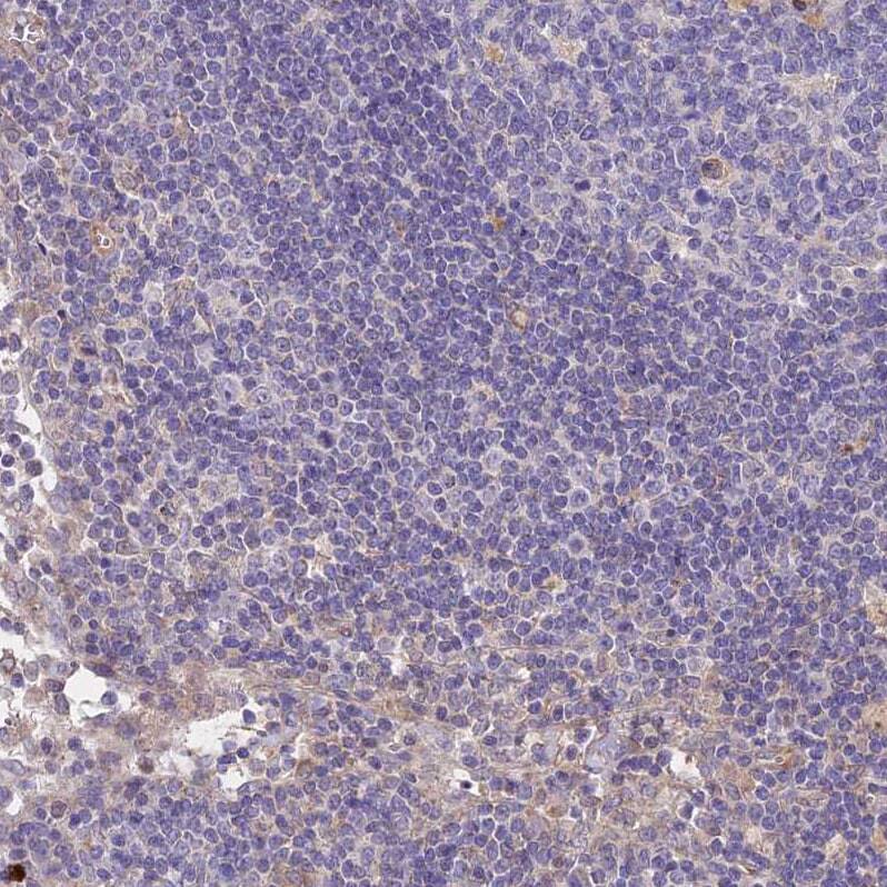
- Immunohistochemical analysis of ANKRD50 in human lymph node using ANKRD50 Polyclonal Antibody (Product # PA5-60585) shows no cytoplasmic positivity in germinal and non-germinal center cells.
- Submitted by
- Invitrogen Antibodies (provider)
- Main image

- Experimental details
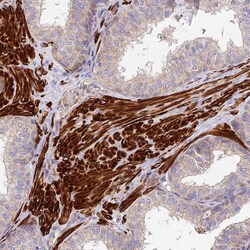
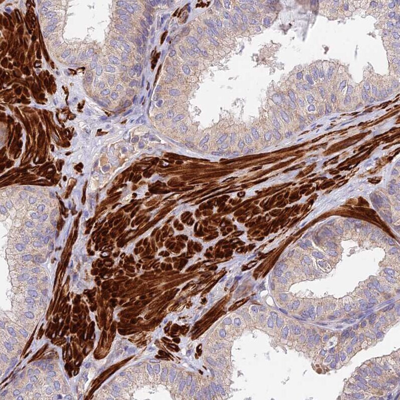
- Immunohistochemical analysis of ANKRD50 in human prostate using ANKRD50 Polyclonal Antibody (Product # PA5-60585) shows strong cytoplasmic positivity in smooth muscle cells.
- Submitted by
- Invitrogen Antibodies (provider)
- Main image

- Experimental details
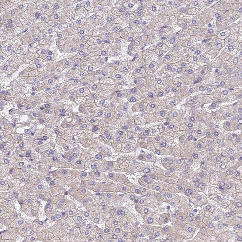
- Immunohistochemical analysis of ANKRD50 in human liver using ANKRD50 Polyclonal Antibody (Product # PA5-60585) shows very weak cytoplasmic positivity in hepatocytes.